УЗИ: пневмоторакс и подкожная эмфизема

Только верифицированые изображения
Ответить
Аватара пользователя
KsV
Администратор
Сообщения: 2191
Зарегистрирован: 22 фев 2009, 13:38
Откуда: Беларусь-Lietuva
Контактная информация:

УЗИ: пневмоторакс и подкожная эмфизема

Сообщение KsV »

Пожилой человек, упал с лестницы в саду. Жалобы на сильные боли в грудной клетке и пояснице справа. Одышки нет.

Пальпаторно справа - подкожная крепитация.
emphysema.jpg
phpBB [video]

Ультразвуковое панорамное изображение и видео подкожной эмфмземы при травме грудной клетки. В подкожно-жировой клетчатке определяется воздух (стрелки). Линия плевры находится глубже воздуха (толстая стрелка). Пальпаторно в зоне скопления воздуха определяется крепитация. Позади воздуха определяются Е-линии. Обратите внимание на подвижность линии легкого и неподвижность "залипшего" в верхней точке грудной клетки воздуха.



phpBB [video]

Справа во IIм межреберье в плевральной полости определяется небольшое количество свободного воздуха.

phpBB [video]

Слева воздух не определяется.

Отправлен на рентгеновское исследование грудной клетки.
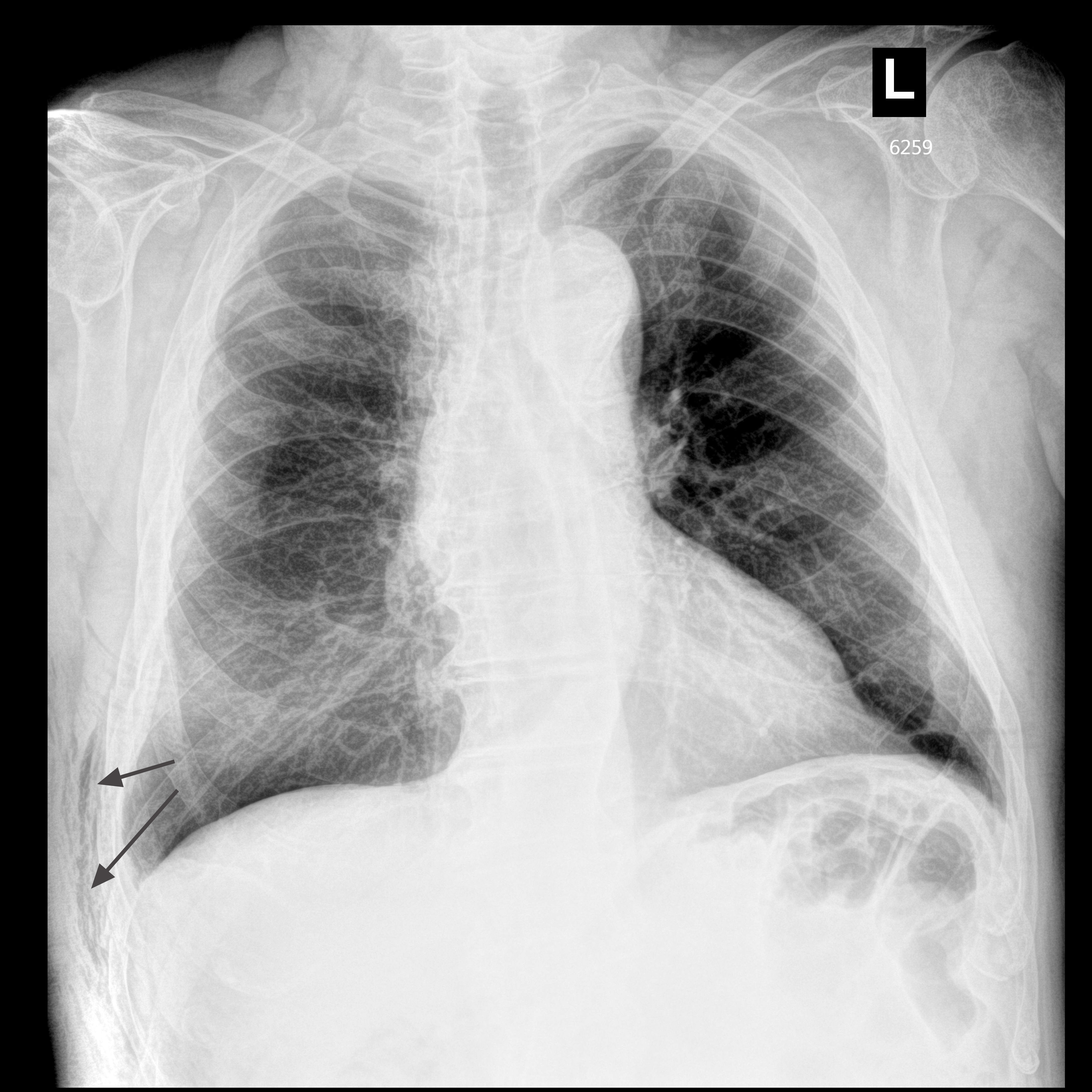
aerarrows.jpg
На рентгенограмме определяется воздух в мягких тканях, данных за массивный пневматоракс нет.

Таким образом, УЗИ является довольно чувствительным и информативным методом в диагностике пневматоракса при травме грудной клетки.
Ответить

Вернуться в «Легкие, грудная клетка»

Кто сейчас на конференции

Сейчас этот форум просматривают: нет зарегистрированных пользователей и 1 гость