#2 Перелом ребер, УЗИ. Rib fracture, sonography. Šonkaulio lūžis.

Только верифицированые изображения
Ответить
Аватара пользователя
KsV
Администратор
Сообщения: 2191
Зарегистрирован: 22 фев 2009, 13:38
Откуда: Беларусь-Lietuva
Контактная информация:

#2 Перелом ребер, УЗИ. Rib fracture, sonography. Šonkaulio lūžis.

Сообщение KsV »

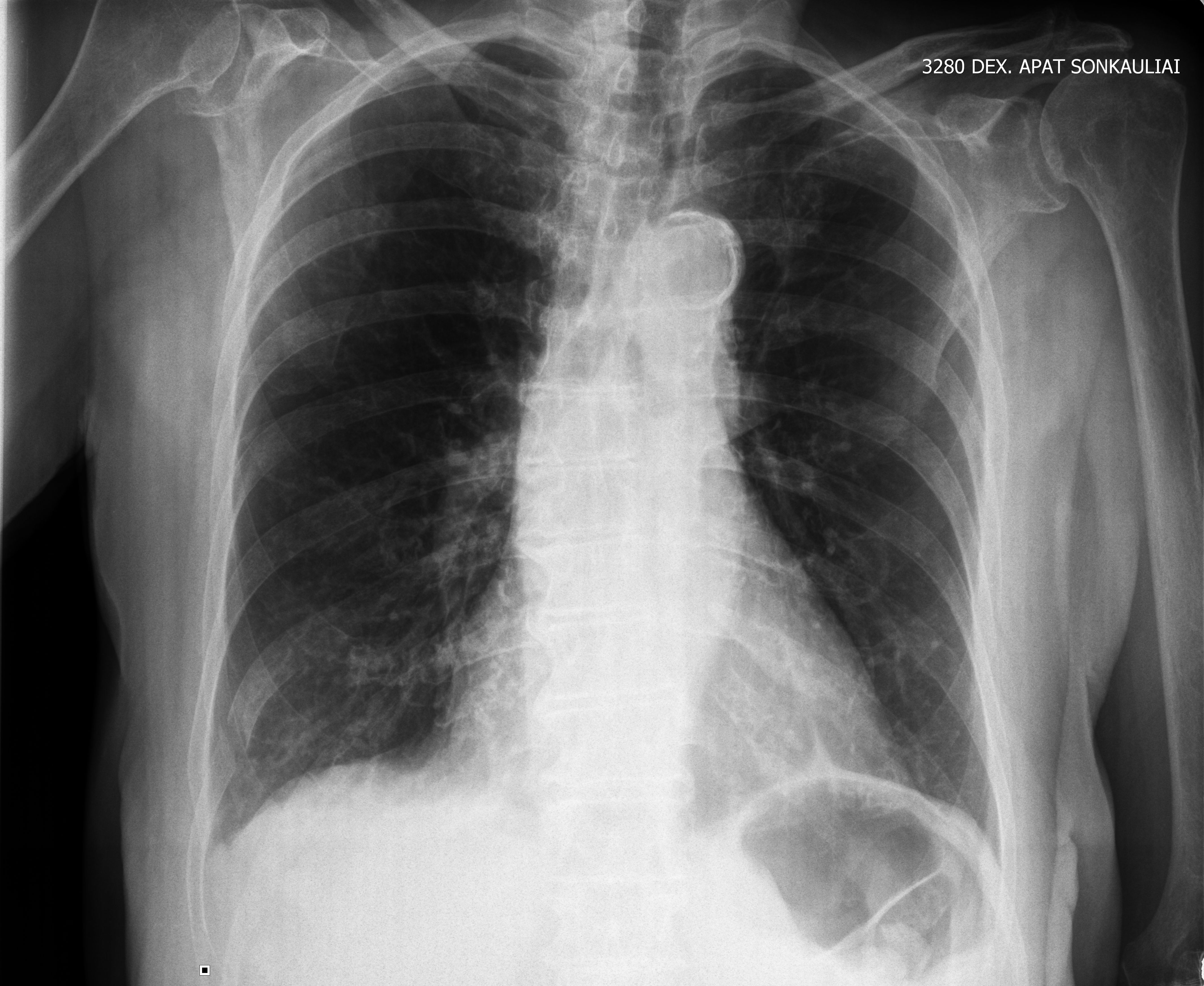
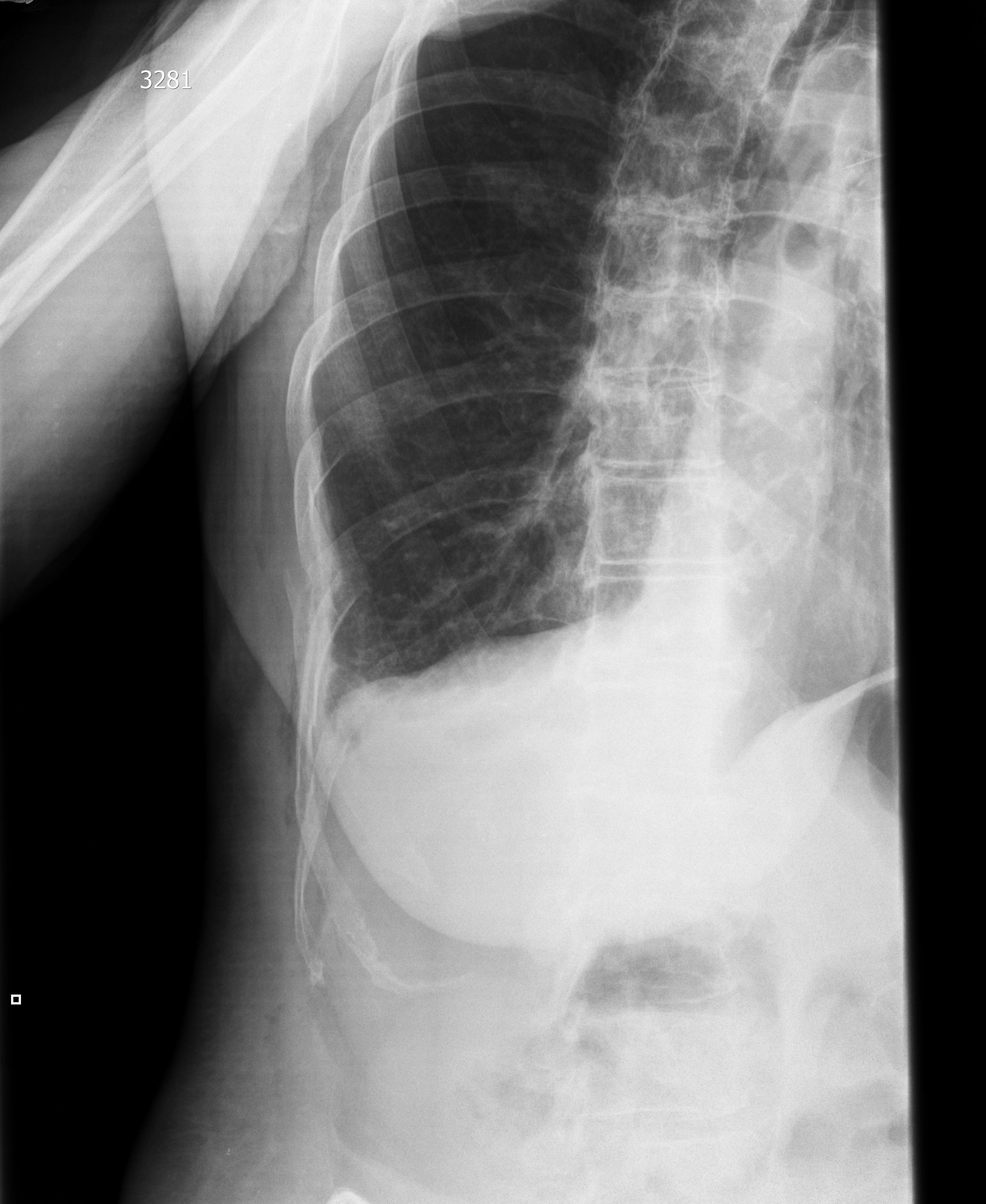
Пожилая женщина, ударилась об угол стола.

Рентгенологически описан только перелом X ребра справа.
image.jpg
image1.jpg

При УЗИ имеются признаки перелома X и IX ребер (IX - оскольчатого), подкожной эмфиземы, пневмонии и плеврита.

phpBB [video]
Ответить

Вернуться в «Легкие, грудная клетка»

Кто сейчас на конференции

Сейчас этот форум просматривают: нет зарегистрированных пользователей и 1 гость