Асцит? Ascites?

Печень, желчный пузырь, поджелудочная железа, селезенка. Кишечник.
Только верифицированые изображения
Ответить
Аватара пользователя
KsV
Администратор
Сообщения: 2189
Зарегистрирован: 22 фев 2009, 13:38
Откуда: Беларусь-Lietuva
Контактная информация:

Асцит? Ascites?

Сообщение KsV »

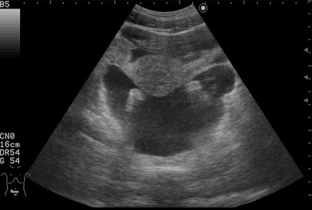
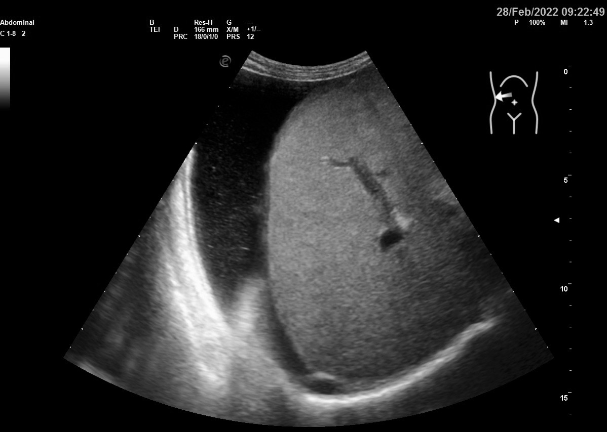
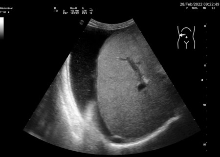
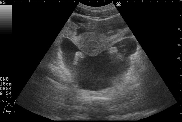
Хирург попросил выполнить разметку для дренирования асцита у женщины. Но что-то заставило рекомендовать КТ.
Что?

phpBB [video]
Аватара пользователя
KsV
Администратор
Сообщения: 2189
Зарегистрирован: 22 фев 2009, 13:38
Откуда: Беларусь-Lietuva
Контактная информация:

Re: Асцит? Ascites?

Сообщение KsV »

Где ЭТО?

Где все ЭТО, характерное для асцита?

3.55.jpg
x180502--093036_20180502_Adult-_Abdomen_0028.JPG
AAGD.jpg
Аватара пользователя
KsV
Администратор
Сообщения: 2189
Зарегистрирован: 22 фев 2009, 13:38
Откуда: Беларусь-Lietuva
Контактная информация:

Re: Асцит? Ascites?

Сообщение KsV »

Реальный асцит

phpBB [video]
Ответить

Вернуться в «Абдоминальные исследования»

Кто сейчас на конференции

Сейчас этот форум просматривают: нет зарегистрированных пользователей и 0 гостей