АУТОСОМНО-ДОМИНАНТНАЯ ПОЛИКИСТОЗНАЯ БОЛЕЗНЬ ПОЧЕК (ВЗРОСЛЫХ)

Почки, мочеточники, мочевой пузырь, уретра. Простата и яички.

Модератор: KsV

Ответить
Аватара пользователя
KsV
Администратор
Сообщения: 2191
Зарегистрирован: 22 фев 2009, 13:38
Откуда: Беларусь-Lietuva
Контактная информация:

АУТОСОМНО-ДОМИНАНТНАЯ ПОЛИКИСТОЗНАЯ БОЛЕЗНЬ ПОЧЕК (ВЗРОСЛЫХ)

Сообщение KsV »

АДПКБП, макропрепарат (фото - интернет).
АДПКБП, макропрепарат (фото - интернет).
1340092.jpg (22.71 КБ) 1436 просмотров
АДПКБП, макропрепарат (фото - интернет).
АДПКБП, макропрепарат (фото - интернет).
0990012.jpg (14.09 КБ) 1428 просмотров
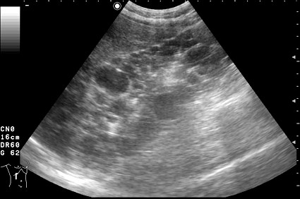
АДПКБП, сонограмма правой почки женщины 37 лет. Почка увеличена, паренхима замещена кистами различных размеров.
АДПКБП, сонограмма правой почки женщины 37 лет. Почка увеличена, паренхима замещена кистами различных размеров.
AAEZ.jpg (26.91 КБ) 1442 просмотра
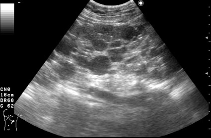
Тот же случай, сонограмма левой почки.
Тот же случай, сонограмма левой почки.
AAFB.jpg (26.58 КБ) 1427 просмотров
Аутосомно-доминантная поликистозная болезнь почек (АДПКБ почек, син.: кистозная болезнь почек тип III по классификации Поттера) является наследственным заболеванием и характеризуется развитием множественных кист в обеих почках, что приводит к сдавлению паренхимы, выраженному интерстициальному фиброзу, канальцевой атрофии и развитию почечной недостаточности.
Заболевание наследуется аутосомно-доминантно и является следствием мутаций генов PKD1 (около 85 % случаев), PKD2 (около 10 % случаев), PKD3 (около 5 % случаев), что может быть определено с помощью молекулярного анализа ДНК. Изменение генов приводит к нарушению синтеза белка, участвующего в клеточно-клеточных матриксных взаимодействиях, имеющих важное значение для роста и дифференцировки тубулярного эпителия. Хотя заболевание приводит к тяжелому нарушению функции почек, только 2–5 % нефронов пораженных почек напрямую кистозно изменены. Изменения появляются во всех отделах нефрона, от клубочка до дистальных отделов канальца, и в собирательных трубочках. По мере расширения нефронов и собирательных трубочек они принимают винтообразный вид, становятся извитыми и в конечном итоге происходит закрытие просвета между появляющейся кистой и просветом канальца или собирательной трубочки. После этого киста накапливает жидкость, увеличивается в размерах и начинает сдавливать другие, ранее не вовлеченные в патологический процесс нефроны. Следствием этого является утолщение базальных мембран, интерстициальное воспаление и фиброз, что приводит к нарушению функции почки. Неосложненные кисты содержат прозрачную желтую жидкость с уровнем электролитов и мочевины таким же, как в моче, — в отличие от простых кист, химический состав жидкости которых сходен с составом плазмы крови.

У некоторых больных первыми симптомами являются боли в пояснице, вызываемые прогрессирующим ростом кист, развитием пиелонефрита, камнеобразованием или кровотечением. Отхождение конкрементов или сгустков крови являются причинами типичной почечной колики. Многие больные АДПКБ почек не предъявляют жалоб до тех пор, пока не появляются симптомы ХПН, такие, как протеинурия, полиурия, артериальная гипертензия. Развернутая клиника заболевания обычно развивается в возрасте старше 30 лет, а конечная стадия — к 60 годам. У больных АДПКБ почек часто встречаются внепочечные кисты: кисты печени (поликистозная болезнь печени) обнаруживаются у 40–75 %, кисты поджелудочной железы — у 10 %, кисты селезенки — у 5 % больных. Описаны также кисты щитовидной железы, эндометрия, семенных пузырьков, легких, головного мозга, слюнных желез, молочных желез, брюшной полости, паращитовидных желез.

Ультразвуковая диагностика АДПКБ почек чаще всего не вызывает трудностей: почки значительно увеличены в размерах, определяется множество кист, от маленьких до нескольких сантиметров в диаметре. Кисты выглядят анэхогенными, при наличии примеси кровянистых и гнойных масс содержимое кист становится акустически непрозрачным, мутным. Полостная система почки дифференцируется плохо, обнаружение конкрементов чаще всего затруднено.
В некоторых случаях изменения могут быть менее выраженными: например, одна почка может быть типично изменена, а другая почти не изменена, размеры почек с кистами могут быть не увеличены или увеличены незначительно. В таких можно пользоваться следующими ультрасонографическими критериями АДПКБ почек: на заболевание указывает наличие как минимум двух кист в одной почке или по одной кисте в каждой почке у лиц с наличием семейного анамнеза моложе 30 лет, наличие двух кист в каждой почке у лиц группы риска в возрасте 30–59 лет или наличие четырех кист в каждой почке у лиц группы риска старше 60 лет.
Трудности в диагностике заболевания могут возникать также при обследовании детей из семей больных АДПКБ почек и обнаружении в паренхиме почек небольшого количества кист. С учетом приведенных выше критериев АДПКБ почек, если диагностировать заболевание на основании обнаружения единичных кист, то имеется высокий риск ложноположительных диагнозов. Считается, что ложноположительный диагноз является менее приемлемым, чем ложноотрицательный — из-за страха, вызываемого этим диагнозом. В этих ситуациях можно воспользоваться следующим советом: "если у ребенка имеются кисты почек, то он потенциально может быть болен АДПКБ, однако на данном этапе заболевания окончательный диагноз не может быть установлен только с помощью ультразвукового исследования".
АДПКБ почек является по определению двухсторонним заболеванием, случаи так называемого одностороннего "поликистоза" являются примерами либо односторонней мультикистозной дисплазии почек, либо АДПКБ с выраженной асимметрией поражения почек, когда кисты в "нормальной" почке не доступны для обнаружения имеющимися методами. Множественные кисты в одном из сегментов почки у лиц без семейного анамнеза АДПКБ (локализованная кистозная болезнь почки) не являются генетически детерминированными, не приводят к ХПН и не должны рассматриваться как форма АДПКБ.
Ответить

Вернуться в «Уронефрологические исследования»

Кто сейчас на конференции

Сейчас этот форум просматривают: нет зарегистрированных пользователей и 1 гость