Опухоль панкреас - Женщина 70 лет, бессимптомная желтуха
- KsV
- Администратор
- Сообщения: 2191
- Зарегистрирован: 22 фев 2009, 13:38
- Откуда: Беларусь-Lietuva
- Контактная информация:
Опухоль панкреас - Женщина 70 лет, бессимптомная желтуха
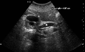
Поступила в приемный покой БСМП.
Re: Женщина 70 лет, бессимптомная желтуха
Предисловие: хочу поздравить всех коллег лучевых диагностов Беларуси с открытием нашего сайта! Уверен у нас с вами всё получится!
Теперь по существу.
Позвольте вначале кратко высказатся по техникие проведения КТ исследования.
1. Нативная фаза (фаза без в/в ведения контраста) при такой патологии не показана, так же как и при рутинном КТ исследовании. Зачем подтвергать пациента лишнему облучению? Дополнительной полезной информации она не предоставить; а доза облучения минимум увеличивается в два раза! Нативные серии имеют право на выполнение при некоторых объмных образованиях печени (аденома-надо посмотреть если характерное кровоизлияние в опухоль); при кишечном кровотечении; урологических исследованиях (посмотреть конкременты, характер усиления опухоли и т.д.). В подавляющем числе рутинной работы по обследованию брюшной полости, можно спокойно обходится двух-фазовыми исследованиями или только портальной фазой. Подробно с современными протоколами сканирования вы можете ознакомится на сайте: http://www.ctisus.com/ (prof. E. Fishman) проф. Е. Фишмана, одного из пионеров КТ диагностики (КТ он начал заниматся ещё с 70х годов). На этом замечательном сайте, можно найти протоколы "на любой" вкус, по любой патологии. настояте;льно советую посетить этот ресурс, в свое времуа мне он очень помог.
2. В отношении орального контрастирования: на представленных сериях, желудок пуст. Надо всегда (по возможности пациентов конечно) давать последний стакан (300-400 мл) орального контраста выпивать на столе, сразу перед исследованием! Это позволяет не только диагносцировать как саму патологию желудка (в моей практике есть верифицированные случи КТ диагностики карциноидов желудка размерами 2-3 мм!); но также улучшить качество визуализации гепатопанкреатической зоны, за счёт адекватного наполнения 12-ти перстной кишки.
Наверно не все знают, что оральное контрастирование это не только йодосодержащие препраты или барий (есть специальные взвеси бария для использования в КТ диагностике), но также обыкновенная вода (молоко, соки). Я предоставил материалы лекции международного Стандфордского конгресса по МДКТ 2008 администратору сайта, с ней вы можете ознакомится по этой ссылке: http://radiology.by/myfiles/CT1.pdf.
Если вкратце: "серое" или "нейтральное" контрастирование ЖКТ, имеется ввиду простая вода (молоко при энтерографии; или соки), рекомендуется использовать при:
1.Образования поджелудочной железы
2.Гематурия
3.Образования почек/надпочечников
4.КТ ангиография брюшной полости
5.Оценка состояния донорских органов (печень, почки)
В остальных случаях, надо давать "позитивное" оральное контрастирование.
При КТ энтерографии, в последнее время некоторые авторы рекоммендуют молоко, другие источники ратуют за "позитивное". Я по своему скромному опыту скажу так; при энтеропатии связанной с мальабсорбцией, даю нейтральный контраст; при обструктивных поражениях (Крон, лимфома и т.д.)-позитивный.
Более подробно по протоколу приёма орального контраста, вы можете почитать в упомянутой мной статье:
http://radiology.by/myfiles/CT1.pdf
Звиняйте, сильно отвлёкся от основной темы форума!
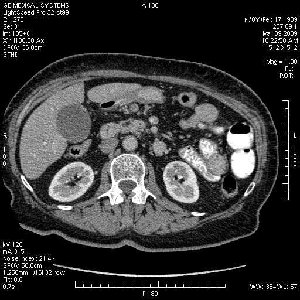
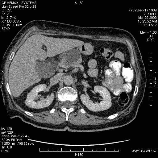
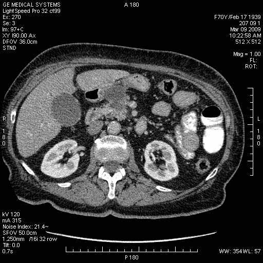
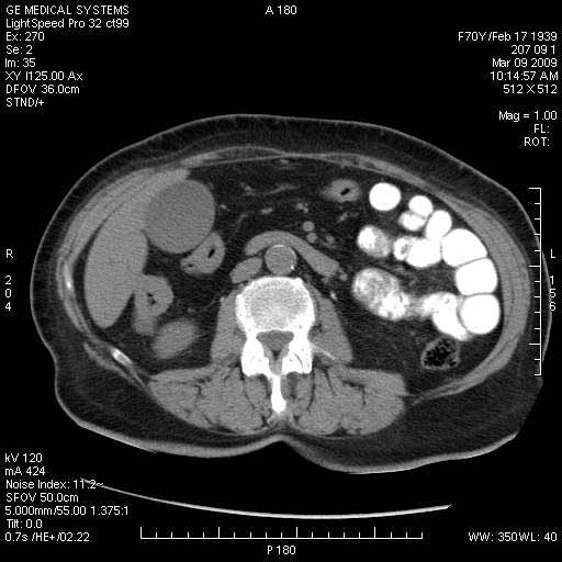
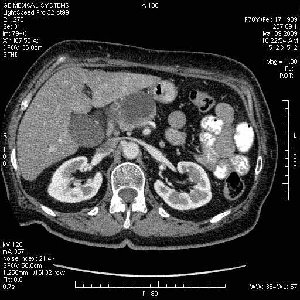
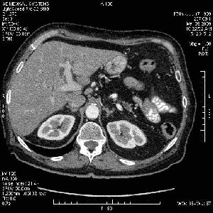
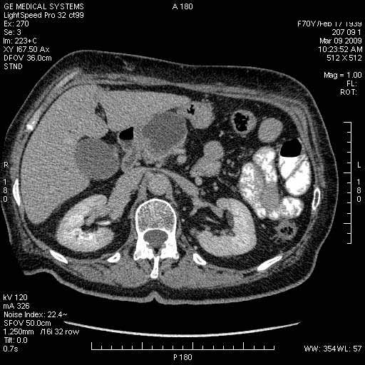
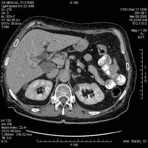
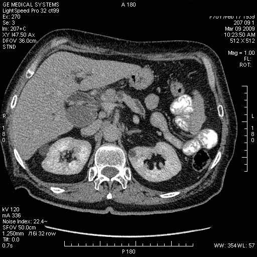
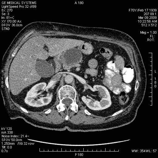
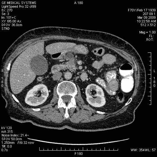
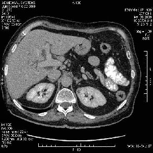
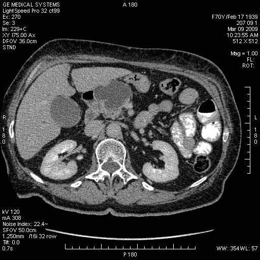
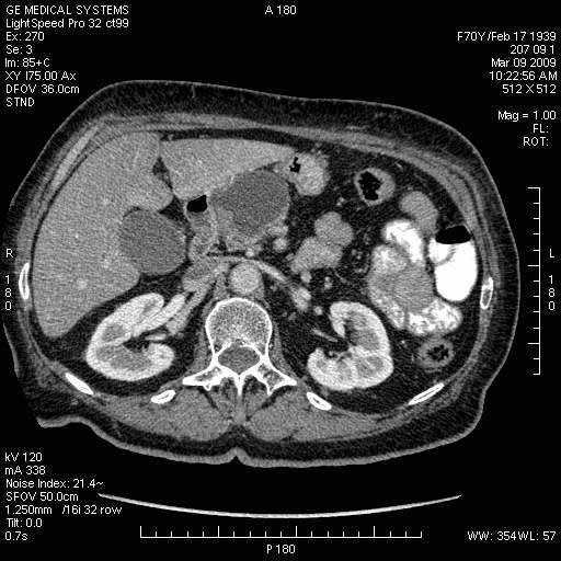
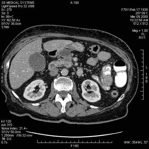
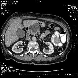
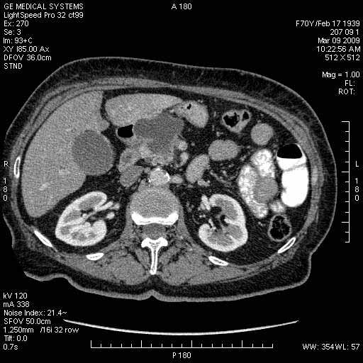
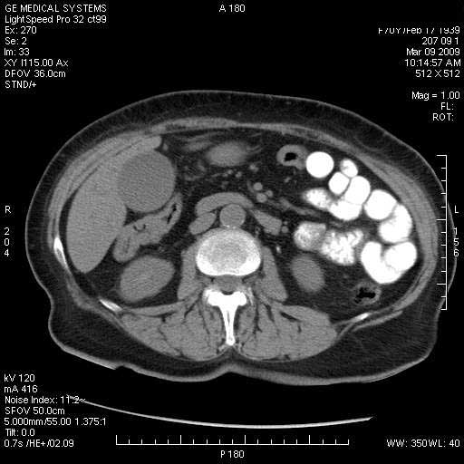
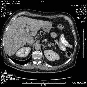
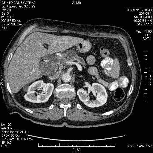
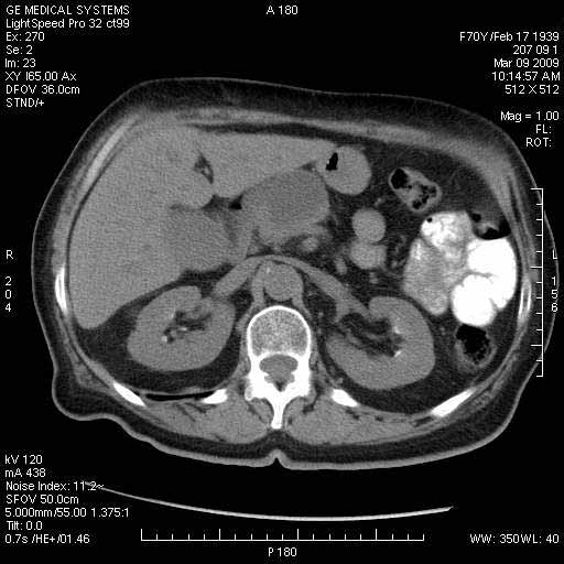
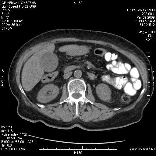
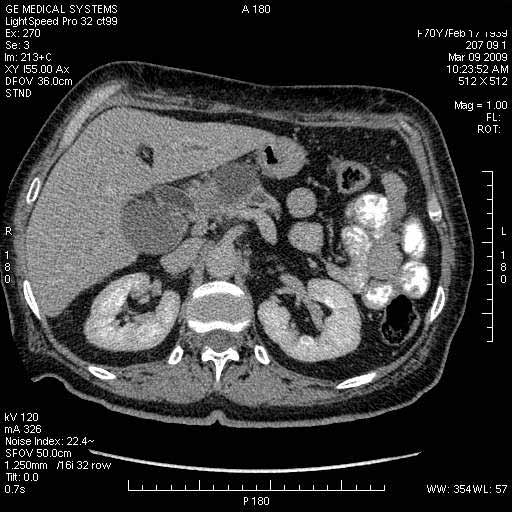
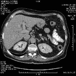
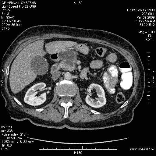
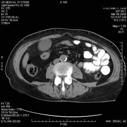
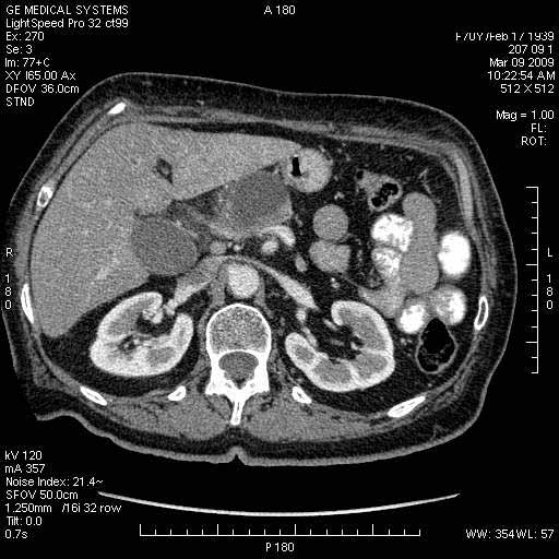
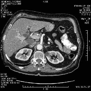
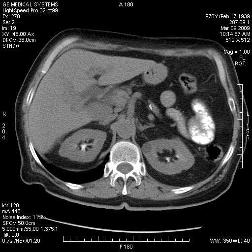
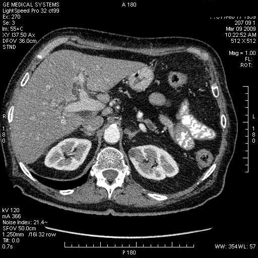
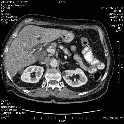
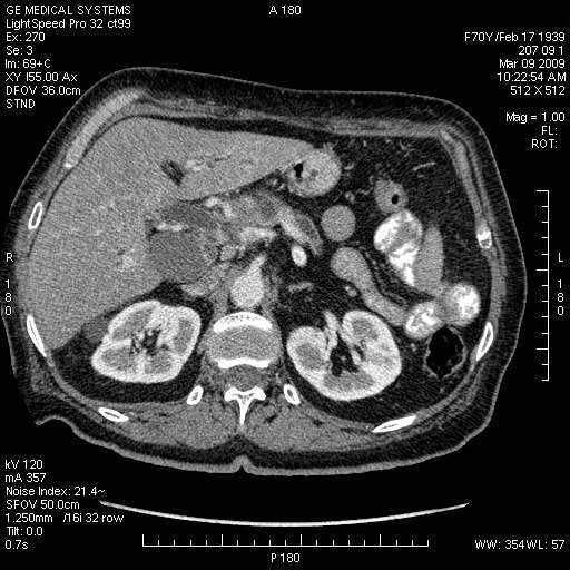
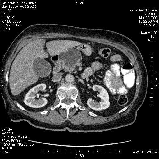
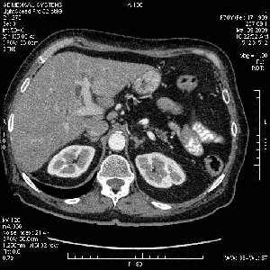
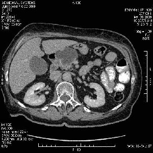
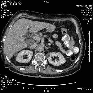
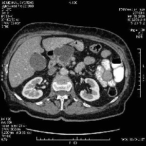
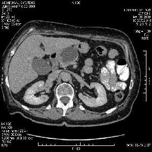
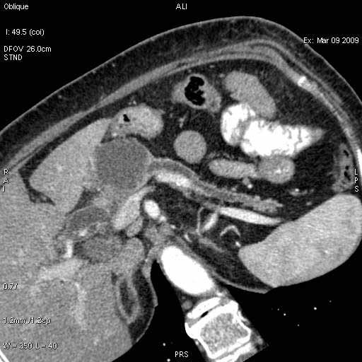
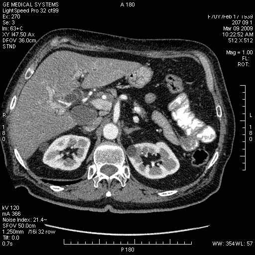
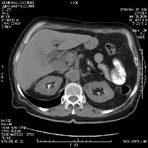
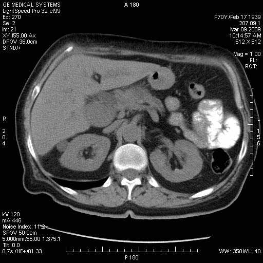
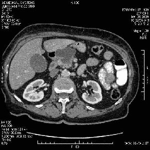
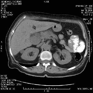
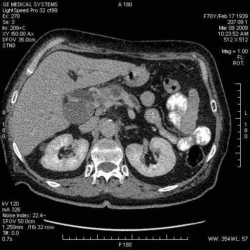
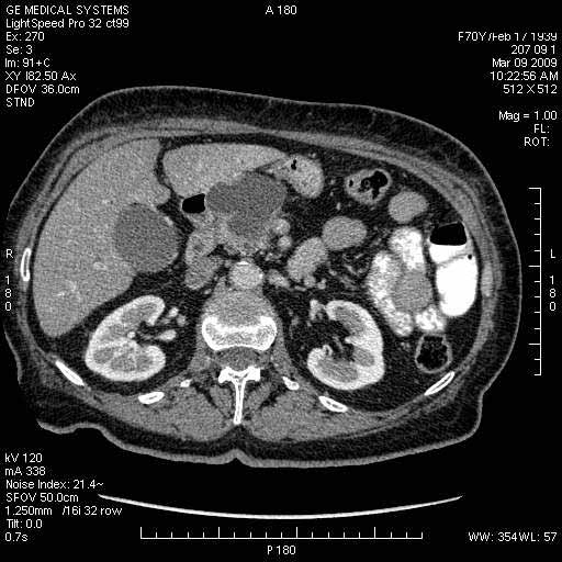
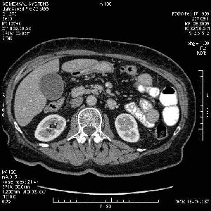
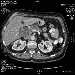
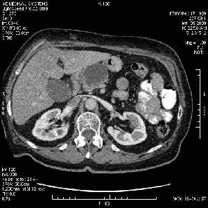
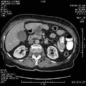
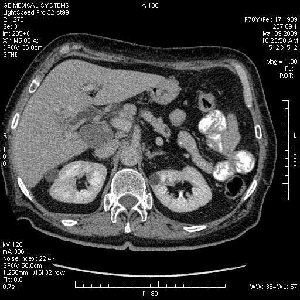
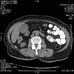
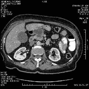
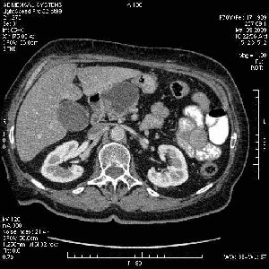
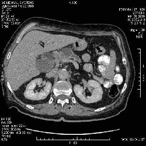
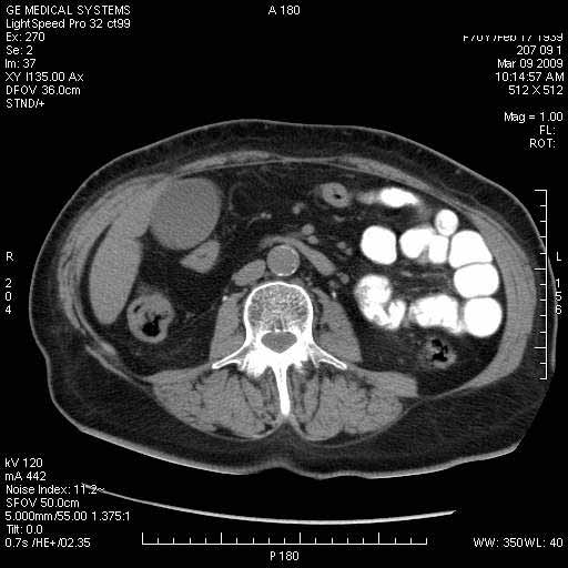
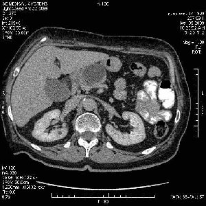
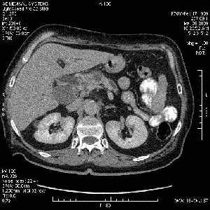
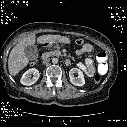
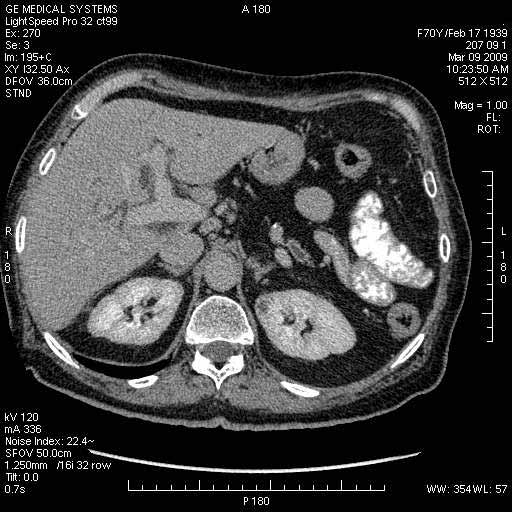
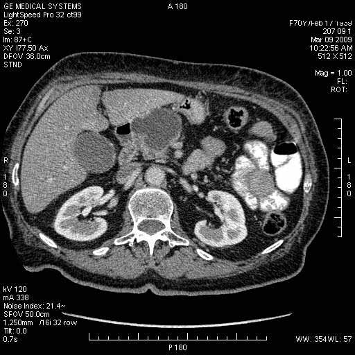
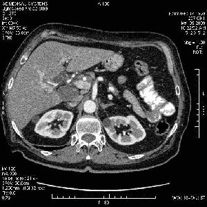
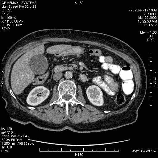
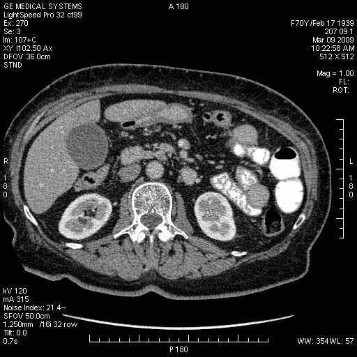
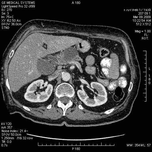
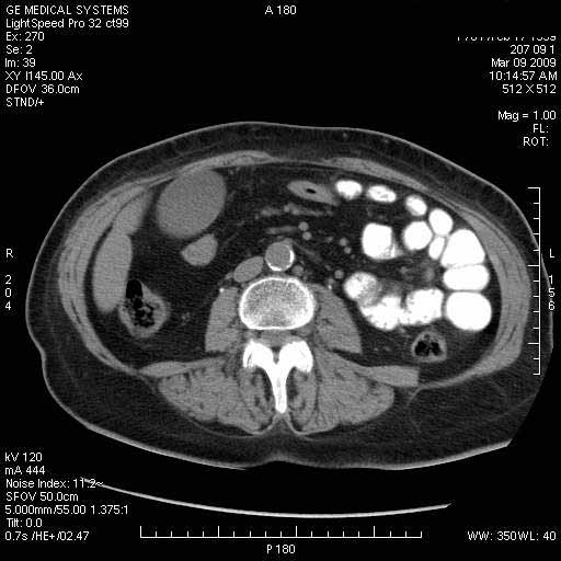
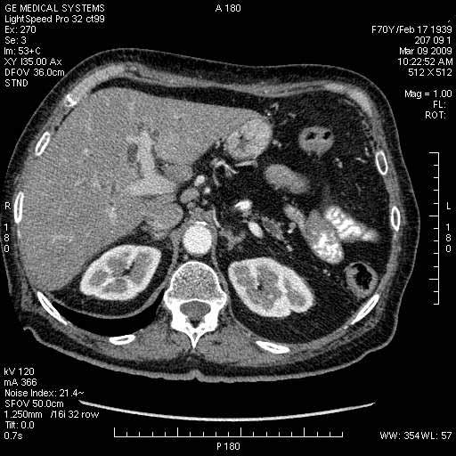
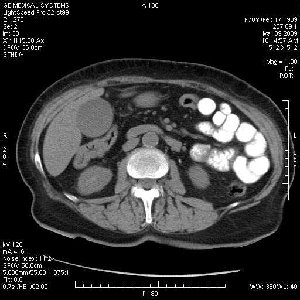
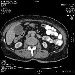
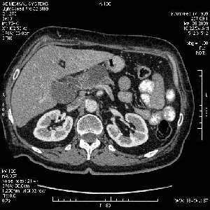
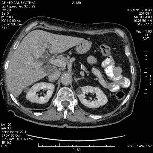
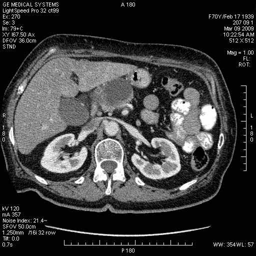
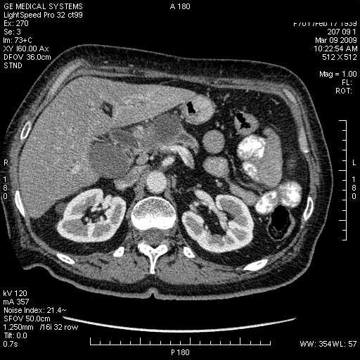
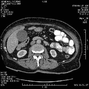
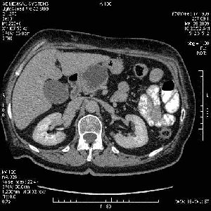
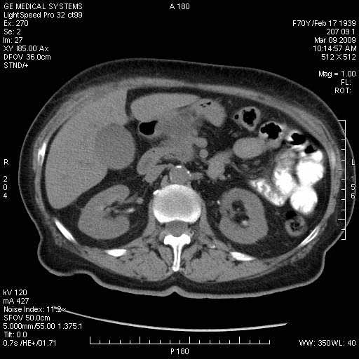
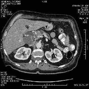
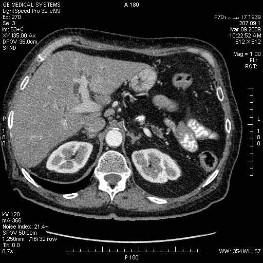
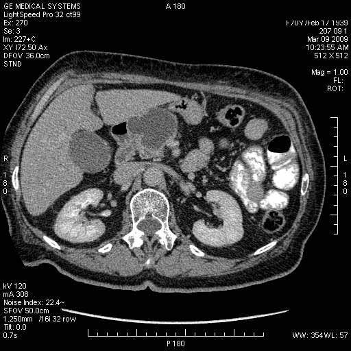
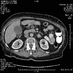
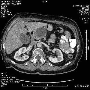
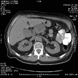
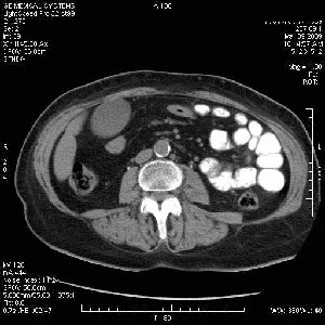
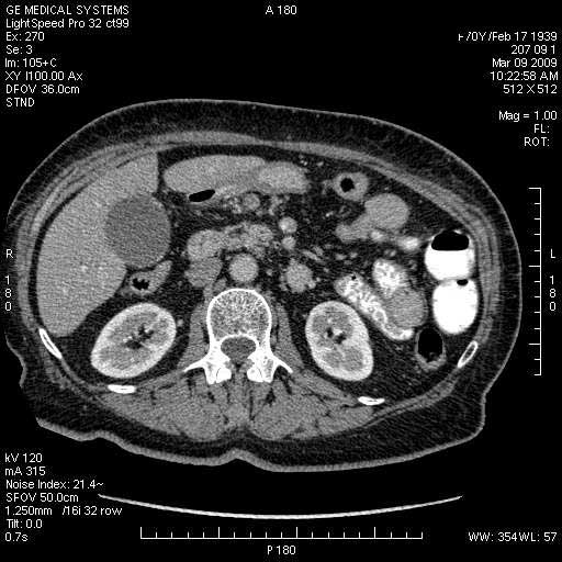
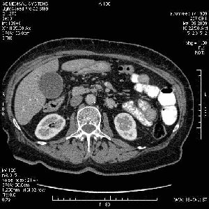
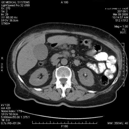
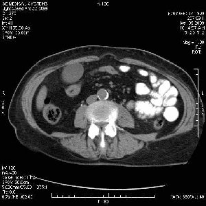
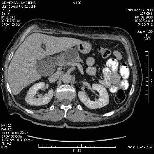
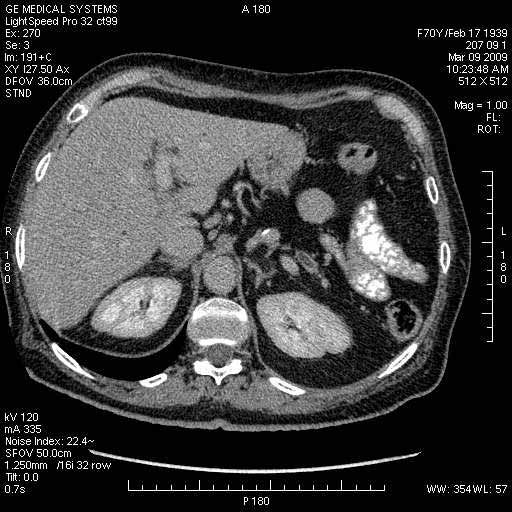
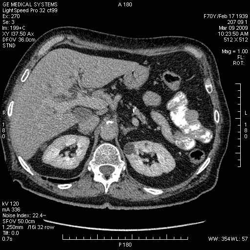
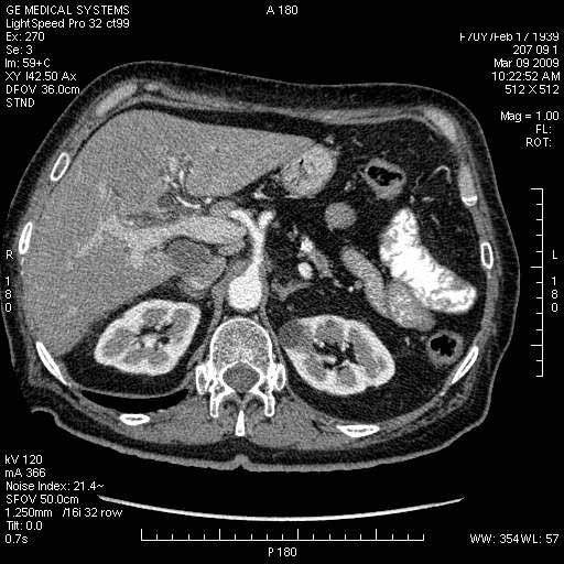
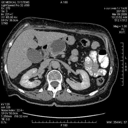
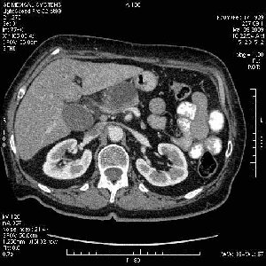
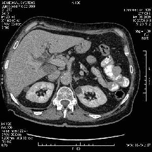
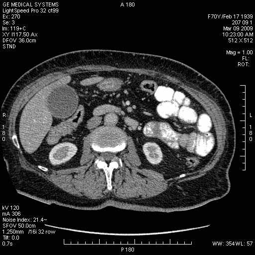
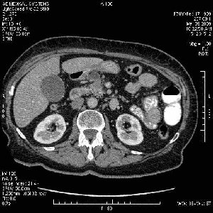
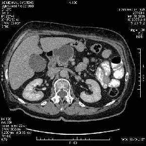
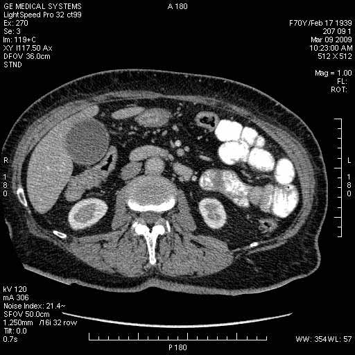
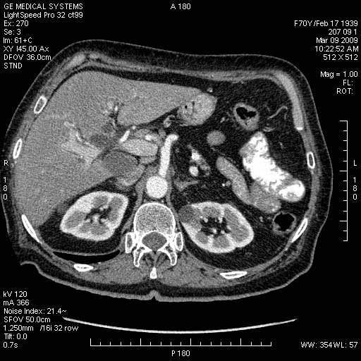
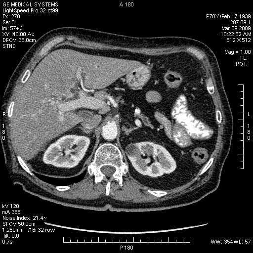
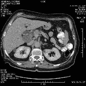
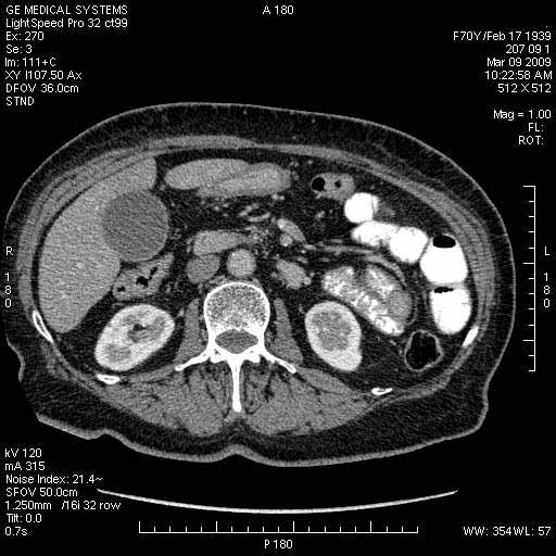
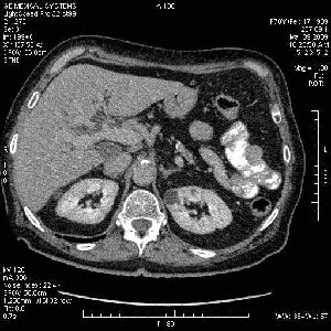
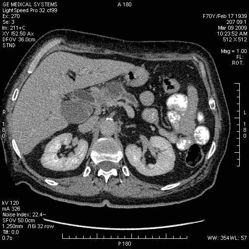
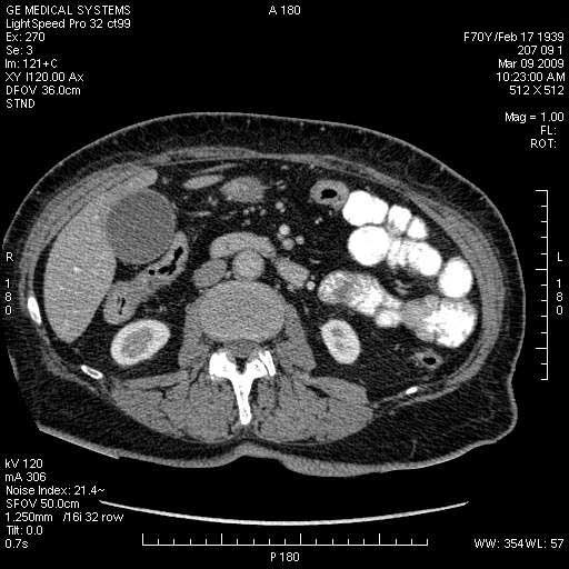
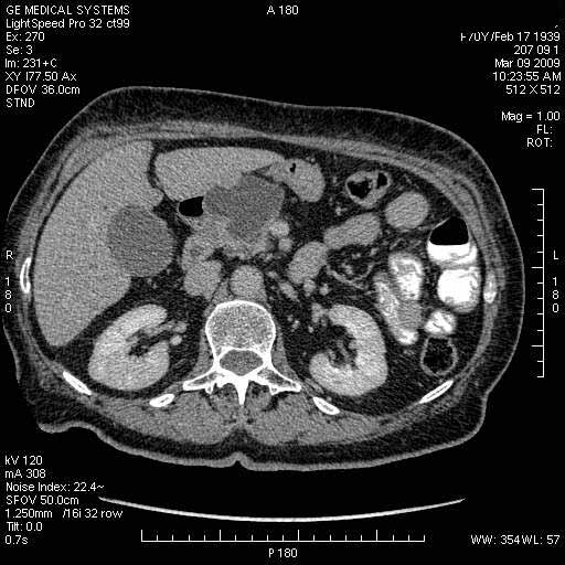
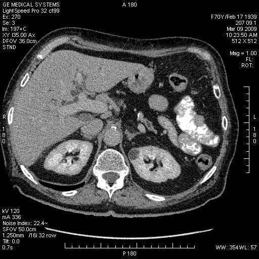
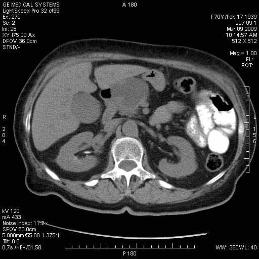
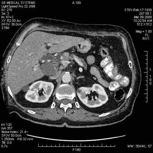
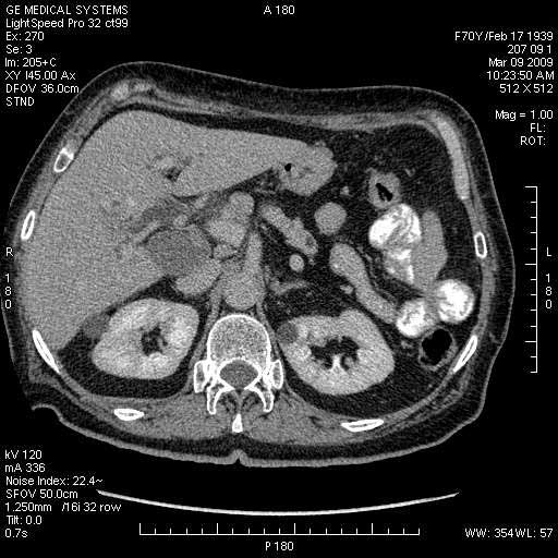
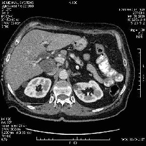
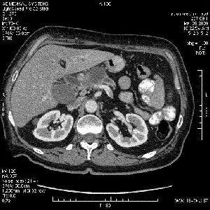
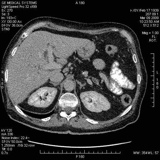
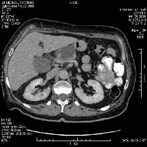
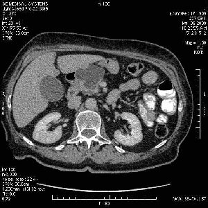
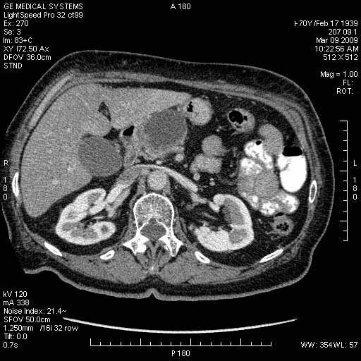
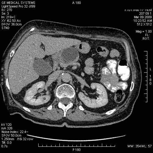
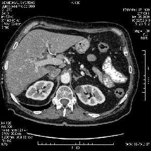
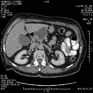
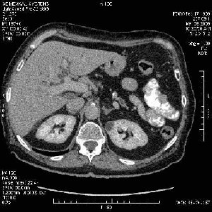
На представленных срезах визуализируются признаки механической билиарной обструкции на уровне холедоха, за счёт наличия гиподенсного образования головки панкреас (визуально, до 60 мм в диаметре), с одновременной обструкцией Вирсунгова протока, таk называемый признак двойного протока (double channel sign); характерного для опухолей поджелудочной железы, когда проиcxодит расширениe холедоха и панкреатического протока. Образовaние не распространяется на близлежащие SMV и SMA, т.е. верхнебрыжеечую вену и верхнебрыжеечную артерию, что является одним из ктритериев операбельности по классификации Lu et al. Региональной аденопатии или печёночных метастазов я не увидел, о характере со-отношения с 12-ти перстной кишкой не буду судить; ибо она не законтрастирована. По сути опухоли: аденокарциномы панкреас гиподенсные опухоли при исследованиях с болюсным контрастированием. Если опухоль имеет кистозную структуру, в диф. диагноз надо включать муцин продуцирующие опухоли панкреас, такие как:
Intraductal papillary mucinous neoplasm (IPMT)
Mucinous cystic neoplasm
Serous cystadenoma: no malignant potential
Теперь по существу.
Позвольте вначале кратко высказатся по техникие проведения КТ исследования.
1. Нативная фаза (фаза без в/в ведения контраста) при такой патологии не показана, так же как и при рутинном КТ исследовании. Зачем подтвергать пациента лишнему облучению? Дополнительной полезной информации она не предоставить; а доза облучения минимум увеличивается в два раза! Нативные серии имеют право на выполнение при некоторых объмных образованиях печени (аденома-надо посмотреть если характерное кровоизлияние в опухоль); при кишечном кровотечении; урологических исследованиях (посмотреть конкременты, характер усиления опухоли и т.д.). В подавляющем числе рутинной работы по обследованию брюшной полости, можно спокойно обходится двух-фазовыми исследованиями или только портальной фазой. Подробно с современными протоколами сканирования вы можете ознакомится на сайте: http://www.ctisus.com/ (prof. E. Fishman) проф. Е. Фишмана, одного из пионеров КТ диагностики (КТ он начал заниматся ещё с 70х годов). На этом замечательном сайте, можно найти протоколы "на любой" вкус, по любой патологии. настояте;льно советую посетить этот ресурс, в свое времуа мне он очень помог.
2. В отношении орального контрастирования: на представленных сериях, желудок пуст. Надо всегда (по возможности пациентов конечно) давать последний стакан (300-400 мл) орального контраста выпивать на столе, сразу перед исследованием! Это позволяет не только диагносцировать как саму патологию желудка (в моей практике есть верифицированные случи КТ диагностики карциноидов желудка размерами 2-3 мм!); но также улучшить качество визуализации гепатопанкреатической зоны, за счёт адекватного наполнения 12-ти перстной кишки.
Наверно не все знают, что оральное контрастирование это не только йодосодержащие препраты или барий (есть специальные взвеси бария для использования в КТ диагностике), но также обыкновенная вода (молоко, соки). Я предоставил материалы лекции международного Стандфордского конгресса по МДКТ 2008 администратору сайта, с ней вы можете ознакомится по этой ссылке: http://radiology.by/myfiles/CT1.pdf.
Если вкратце: "серое" или "нейтральное" контрастирование ЖКТ, имеется ввиду простая вода (молоко при энтерографии; или соки), рекомендуется использовать при:
1.Образования поджелудочной железы
2.Гематурия
3.Образования почек/надпочечников
4.КТ ангиография брюшной полости
5.Оценка состояния донорских органов (печень, почки)
В остальных случаях, надо давать "позитивное" оральное контрастирование.
При КТ энтерографии, в последнее время некоторые авторы рекоммендуют молоко, другие источники ратуют за "позитивное". Я по своему скромному опыту скажу так; при энтеропатии связанной с мальабсорбцией, даю нейтральный контраст; при обструктивных поражениях (Крон, лимфома и т.д.)-позитивный.
Более подробно по протоколу приёма орального контраста, вы можете почитать в упомянутой мной статье:
http://radiology.by/myfiles/CT1.pdf
Звиняйте, сильно отвлёкся от основной темы форума!
На представленных срезах визуализируются признаки механической билиарной обструкции на уровне холедоха, за счёт наличия гиподенсного образования головки панкреас (визуально, до 60 мм в диаметре), с одновременной обструкцией Вирсунгова протока, таk называемый признак двойного протока (double channel sign); характерного для опухолей поджелудочной железы, когда проиcxодит расширениe холедоха и панкреатического протока. Образовaние не распространяется на близлежащие SMV и SMA, т.е. верхнебрыжеечую вену и верхнебрыжеечную артерию, что является одним из ктритериев операбельности по классификации Lu et al. Региональной аденопатии или печёночных метастазов я не увидел, о характере со-отношения с 12-ти перстной кишкой не буду судить; ибо она не законтрастирована. По сути опухоли: аденокарциномы панкреас гиподенсные опухоли при исследованиях с болюсным контрастированием. Если опухоль имеет кистозную структуру, в диф. диагноз надо включать муцин продуцирующие опухоли панкреас, такие как:
Intraductal papillary mucinous neoplasm (IPMT)
Mucinous cystic neoplasm
Serous cystadenoma: no malignant potential
Re: Женщина 70 лет, бессимптомная желтуха
Тотальное поражение протоковой системы поджелудочной железы муцинозной аденокарциномой, вторичная интрабилиарная гипертензия.Клинически должна быть еще выраженная экзокринная недостаточность
Re: Женщина 70 лет, бессимптомная желтуха
ФАМ писал(а):Тотальное поражение протоковой системы поджелудочной железы муцинозной аденокарциномой, вторичная интрабилиарная гипертензия.Клинически должна быть еще выраженная экзокринная недостаточность
Простите, Вы сейчас озвучили морфологический диагноз после удаление опухоли? И почему "тотальное поражение протока???". Заранее спасибо за ответ.
- KsV
- Администратор
- Сообщения: 2191
- Зарегистрирован: 22 фев 2009, 13:38
- Откуда: Беларусь-Lietuva
- Контактная информация:
Re: Женщина 70 лет, бессимптомная желтуха
Да все так и есть.
Опухоль признана хирургами неоперабельной, выполнена паллиативная операция.
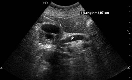
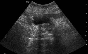
Коллеги, восхищен вашими ответами. Уже много лет работаю в хирургической клинике, но проблема диагностики рака панкреас, дифференциальной диагностики с псевдотуморозным панкреатитом для меня остается актуальной. Ведь очень часто мы даже не видим опухоль даже на неплохом по качеству ультразвуковом оборудовании. Что может помочь в диагнозе?
Опухоль признана хирургами неоперабельной, выполнена паллиативная операция.
Коллеги, восхищен вашими ответами. Уже много лет работаю в хирургической клинике, но проблема диагностики рака панкреас, дифференциальной диагностики с псевдотуморозным панкреатитом для меня остается актуальной. Ведь очень часто мы даже не видим опухоль даже на неплохом по качеству ультразвуковом оборудовании. Что может помочь в диагнозе?
Re: Женщина 70 лет, бессимптомная желтуха
Гм. вопрос на моиллион долларов.
Дело в размере и в клинике, и это взаимосвязано. Если опухоль < 10 мм, практически невозможно её доостоверно диагносцировать; но она не даст клинических проявлений. Когда опухоль > 10 мм, она становится хорошо визуализируемой.
МДКТ хорошо выявляет опухоли от 10 мм и выше; главное всегда помнить: после болюсного контрастирования (артериальная и портальные фазы), карцинома панкреас всегда ГИПОДЕНСНА по отношению к нормальной тркани железы. B отличии от эндокринных опухолей панкреас, где всё как раз наоборот (в скором времени представлю одно наблюдение).
МРТ стоит где-то рядом с МДКТ, лучше показывает стадию и степень инвазии, плюс МРХПГ для "красивой" оценки желчных путей.
В умных журналах обсуждают применение УЗИ при эндоскопическом обследовании (endoscopic US), некоторые даже предлагают рутинно использовать для оценки головки панкреас при гастродуоденоскопии. Но это пока весьма дискутабельно.
Дело в размере и в клинике, и это взаимосвязано. Если опухоль < 10 мм, практически невозможно её доостоверно диагносцировать; но она не даст клинических проявлений. Когда опухоль > 10 мм, она становится хорошо визуализируемой.
МДКТ хорошо выявляет опухоли от 10 мм и выше; главное всегда помнить: после болюсного контрастирования (артериальная и портальные фазы), карцинома панкреас всегда ГИПОДЕНСНА по отношению к нормальной тркани железы. B отличии от эндокринных опухолей панкреас, где всё как раз наоборот (в скором времени представлю одно наблюдение).
МРТ стоит где-то рядом с МДКТ, лучше показывает стадию и степень инвазии, плюс МРХПГ для "красивой" оценки желчных путей.
В умных журналах обсуждают применение УЗИ при эндоскопическом обследовании (endoscopic US), некоторые даже предлагают рутинно использовать для оценки головки панкреас при гастродуоденоскопии. Но это пока весьма дискутабельно.
- KsV
- Администратор
- Сообщения: 2191
- Зарегистрирован: 22 фев 2009, 13:38
- Откуда: Беларусь-Lietuva
- Контактная информация:
Re: Женщина 70 лет, бессимптомная желтуха
ФАМ, Dr.Mario, спасибо за консультацию.
Dr.Mario, огромная благодарность за разъяснение нюансов радиологической диагностики рака панкреас.
От себя добавлю, что в крупных зарубежных клиниках практически всегда выполняется чрезкожная диагностическая биопсия образований панкреас.
В некоторых клиниках производится обязательная предоперационная лапароскопия и лапароскопическое УЗИ для дополнительной оценки распространенности опухолевого процесса.
Dr.Mario, огромная благодарность за разъяснение нюансов радиологической диагностики рака панкреас.
От себя добавлю, что в крупных зарубежных клиниках практически всегда выполняется чрезкожная диагностическая биопсия образований панкреас.
В некоторых клиниках производится обязательная предоперационная лапароскопия и лапароскопическое УЗИ для дополнительной оценки распространенности опухолевого процесса.
Кто сейчас на конференции
Сейчас этот форум просматривают: нет зарегистрированных пользователей и 1 гость