Фокальное утолщение стенок жёлчного пузыря.
Фокальное утолщение стенок жёлчного пузыря.
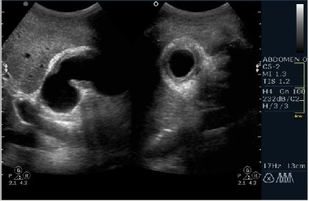
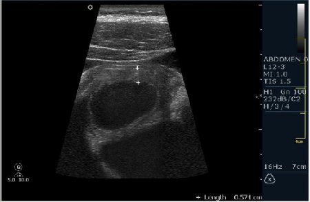
Мужчина 42 года; жалобы на периодические боли в эпигастрии. УЗИ области жёлчного пузыря выявило интересную картину; наблюдается фокальное утолщение стенок пузыря в области тела. Интересно узнать Ваше мнение?
Re: Фокальное утолщение стенок жёлчного пузыря.
Глубокоуважаемый доктор Марио!!! Ета картинка больше всего подобна аденомиоматозу ЖЕЛЧНОГО ПУЗЫРЯ. Но как всегда не хватает дополнительного - подержать самому датчик и посмотреть в глаза пациенту.
P.S. Ультрасонография при аденомиоматозе выявляет значительное утолщение стенки желчного пузыря с мелкими эхонегативными включениями (синусами). В ряде случаев визуализируются мелкие гиперэхогенные включения, иногда с акустической тенью или эффектом реверберации – это мелкие конкременты, пузырьки газа, сгустки желчи, расположенные внутри синусов Рокитанского-Ашоффа. С помощью допплерографии определяют васкуляризацию утолщенных стенок желчного пузыря.
Аденомиоматоз желчного пузыря характеризуется пролиферацией эпителия с псевдожелезистыми структурами, синусами Рокитанского-Ашоффа, а также гиперплазией мышечной оболочки. Различают 3 типа аденомиоматоза: диффузный, сегментарный и локальный. Диффузный тип, при котором в процесс вовлекается весь желчный пузырь, встречается относительно редко. Также нечасто встречается сегментарный тип. В этом случае обычно поражается средняя треть тела желчного пузыря. Локализованная (очаговая) форма является наиболее частой. Для нее характерно циркулярное утолщение стенки ближе ко дну органа, что симулирует картину рака желчного пузыря
P.S. Ультрасонография при аденомиоматозе выявляет значительное утолщение стенки желчного пузыря с мелкими эхонегативными включениями (синусами). В ряде случаев визуализируются мелкие гиперэхогенные включения, иногда с акустической тенью или эффектом реверберации – это мелкие конкременты, пузырьки газа, сгустки желчи, расположенные внутри синусов Рокитанского-Ашоффа. С помощью допплерографии определяют васкуляризацию утолщенных стенок желчного пузыря.
Аденомиоматоз желчного пузыря характеризуется пролиферацией эпителия с псевдожелезистыми структурами, синусами Рокитанского-Ашоффа, а также гиперплазией мышечной оболочки. Различают 3 типа аденомиоматоза: диффузный, сегментарный и локальный. Диффузный тип, при котором в процесс вовлекается весь желчный пузырь, встречается относительно редко. Также нечасто встречается сегментарный тип. В этом случае обычно поражается средняя треть тела желчного пузыря. Локализованная (очаговая) форма является наиболее частой. Для нее характерно циркулярное утолщение стенки ближе ко дну органа, что симулирует картину рака желчного пузыря
Re: Фокальное утолщение стенок жёлчного пузыря.
Аденомиоматоз желчного пузыря
Re: Фокальное утолщение стенок жёлчного пузыря.
Пациент был прооперирован.
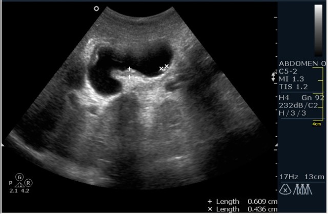
В Желчном пузыре определялся мелкий конкремент и диффузное равномерное гипоэхогенное утолщение стенки на отграниченном участке, заключение морфологов-воспaлительный процесс (признаки холецистита).
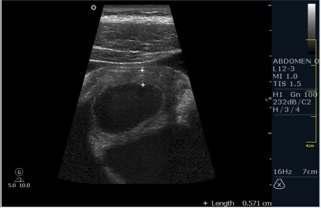
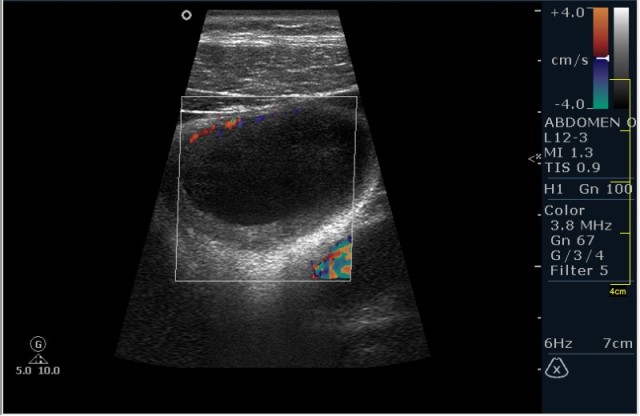
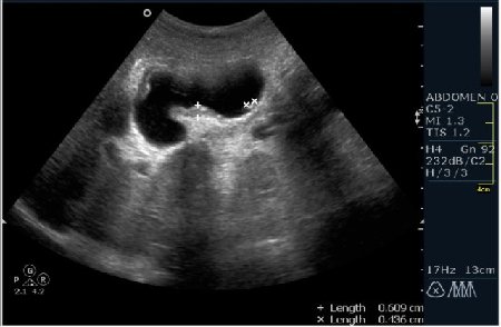
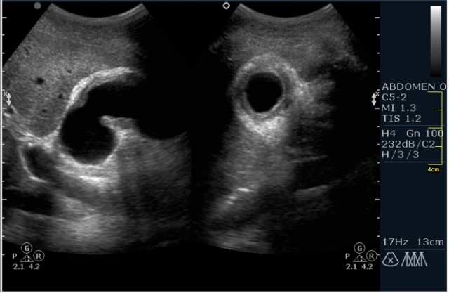
Мне интерено, а почему Вы решили что это аденомиоматоз? На представленных сонограммах нет признаков этого заболевания, за исключением фокального утолщения стенки (что крайне не специфично, см. ниже). Если мы не находим пристеночных синусов (Ашоф -Ракитанского) образующихся за счёт неравномерной гиперплазии эпителия ЖП с протрузией эпителия в стенку, и не видим гиперэхогенные фокусы в стенке за счёт кристаллов холестерола; мы не можем выставлять диагноз аденомиоматоз. В нашем случае мы имеем дело с равномерным гипоэхогенным утолщением (см. сонограммы призведённые линейным датчиком с высоким разрешением).
Что бы не быть голословным, привожу выдержку из широко известного западного настольного справочника по Радиологии:
Primer of Diagnostic Imaging (Mosby).
page 228-229
HYPERPLASTIC CHOLECYSTOSES:
Benign group of diseases with no neoplastic potential, uncertain clinical significance.
Commonly seen in cholecystectomy specimen, less commonly identified by US or cholecystogram.
ADENOMYOMATOSIS:
Most common form of hyperplastic cholesterolosis. There is marked hyperplasia of the GB wall. Epithelium herniates into the wall, forming Rokitansky-Aschoff sinuses. Findings may be focal (more common) or diffuse.
US features:
-Large Rokitansky-Aschoff sinuses
-Hypoechoic sinuses if they contain bile
-Hyperechoic sinuses if they contain sludge or calculi
-High amplitude foci in the wall (cholesterol crystals) that produce comet tail artifacts (V-shaped, ring-down artifacts)
-Thickening of GB wall is common but nonspecific !!!
-Inflammation is not typical
-Hypercontractility
CHOLESTEROSIS (STRAWBERRY GB):
Triglycerides and cholesterol are deposited in macrophages of GB wall. The cholesterol nodules stud the wall and give the GB the appearance of a strawberry.
US features:
-Lipid deposits (usually < 1 mm) are echogenic
-No shadowing
-Inflammation is not a prominent feature
-Associated with multiple (0.5 mm polyps), which should be followed up.
GB ADENOMA:
Single or multiple (10%) 5-20 mm in size. 60% of the cases are associated with cholelithiasis. Found in 0.5% of cholecystectomy specimens (F > M) in normal
population and to a higher degree in familial adenomatous polyposis and Peutz-Jeghers syndrome. Adenomas are usually asymptomatic and discovered
incidentally during a radiological evaluation of abdominal pain.
* Polyps > 1 cm require a careful search for features associated with malignancy, such as thickening or nodularity of the GB wall; evidence of hepatic invasion,
such as an indistinct margin between the liver and GB; biliary duct dilatation; and peripancreatic or hepatoduodenal ligament adenopathy.
* US: gallbladder adenomas are typically smoothly marginated. Intraluminal polypoid masses. Should raise concern for malignancy. The echo-texture of
adenomas is typically homogeneously hyperechoic; however, adenomas tend to be less echogenic and more heterogeneous as they increase in size. The
additional finding of gallstones is common in patients with GB adenomas.
* CT: intraluminal soft-tissue masses, isoattenuating or hypoattenuating relative to liver. They may be difficult to distinguish from noncalcified gallstones.
В Желчном пузыре определялся мелкий конкремент и диффузное равномерное гипоэхогенное утолщение стенки на отграниченном участке, заключение морфологов-воспaлительный процесс (признаки холецистита).
Мне интерено, а почему Вы решили что это аденомиоматоз? На представленных сонограммах нет признаков этого заболевания, за исключением фокального утолщения стенки (что крайне не специфично, см. ниже). Если мы не находим пристеночных синусов (Ашоф -Ракитанского) образующихся за счёт неравномерной гиперплазии эпителия ЖП с протрузией эпителия в стенку, и не видим гиперэхогенные фокусы в стенке за счёт кристаллов холестерола; мы не можем выставлять диагноз аденомиоматоз. В нашем случае мы имеем дело с равномерным гипоэхогенным утолщением (см. сонограммы призведённые линейным датчиком с высоким разрешением).
Что бы не быть голословным, привожу выдержку из широко известного западного настольного справочника по Радиологии:
Primer of Diagnostic Imaging (Mosby).
page 228-229
HYPERPLASTIC CHOLECYSTOSES:
Benign group of diseases with no neoplastic potential, uncertain clinical significance.
Commonly seen in cholecystectomy specimen, less commonly identified by US or cholecystogram.
ADENOMYOMATOSIS:
Most common form of hyperplastic cholesterolosis. There is marked hyperplasia of the GB wall. Epithelium herniates into the wall, forming Rokitansky-Aschoff sinuses. Findings may be focal (more common) or diffuse.
US features:
-Large Rokitansky-Aschoff sinuses
-Hypoechoic sinuses if they contain bile
-Hyperechoic sinuses if they contain sludge or calculi
-High amplitude foci in the wall (cholesterol crystals) that produce comet tail artifacts (V-shaped, ring-down artifacts)
-Thickening of GB wall is common but nonspecific !!!
-Inflammation is not typical
-Hypercontractility
CHOLESTEROSIS (STRAWBERRY GB):
Triglycerides and cholesterol are deposited in macrophages of GB wall. The cholesterol nodules stud the wall and give the GB the appearance of a strawberry.
US features:
-Lipid deposits (usually < 1 mm) are echogenic
-No shadowing
-Inflammation is not a prominent feature
-Associated with multiple (0.5 mm polyps), which should be followed up.
GB ADENOMA:
Single or multiple (10%) 5-20 mm in size. 60% of the cases are associated with cholelithiasis. Found in 0.5% of cholecystectomy specimens (F > M) in normal
population and to a higher degree in familial adenomatous polyposis and Peutz-Jeghers syndrome. Adenomas are usually asymptomatic and discovered
incidentally during a radiological evaluation of abdominal pain.
* Polyps > 1 cm require a careful search for features associated with malignancy, such as thickening or nodularity of the GB wall; evidence of hepatic invasion,
such as an indistinct margin between the liver and GB; biliary duct dilatation; and peripancreatic or hepatoduodenal ligament adenopathy.
* US: gallbladder adenomas are typically smoothly marginated. Intraluminal polypoid masses. Should raise concern for malignancy. The echo-texture of
adenomas is typically homogeneously hyperechoic; however, adenomas tend to be less echogenic and more heterogeneous as they increase in size. The
additional finding of gallstones is common in patients with GB adenomas.
* CT: intraluminal soft-tissue masses, isoattenuating or hypoattenuating relative to liver. They may be difficult to distinguish from noncalcified gallstones.
-
Pimanov_Sergey
- Учитель
- Сообщения: 2
- Зарегистрирован: 12 мар 2009, 14:05
- Контактная информация:
Re: Фокальное утолщение стенок жёлчного пузыря.
Остается неудовлетворение банальным ответом морфолога. Надо попросить морфолога пересмотреть, исходя из небанальной ситуации и, может быть, дорезать (если сохранился макропрепарат). Хотелось бы получить более детальное описание гистологического препарата, желательно привести картинки препаратов из нескольких мест. Если это было банальное воспаление, то есть ли кто-нибудь, кто сталкивался с "локальным острым холециститом"? Отзовитесь! Несмотря на отсутствие всех классических признаков, первая мысль об аденомиоматозе, вторая - об инфильтративном раке желчного пузыря.
Re: Фокальное утолщение стенок жёлчного пузыря.
Гм, я понял Вашу мысль. Нас обслуживает лучшая паталогоанатомическая лаборатория в стране, сотрудничающая с национальным французким институтом патологии (в спорных случаях посылаю срезы в францию). Это я к тому, что мы привыкли доверять нашим патологам. Хотя конечно соглашусь, что ошибится может каждый.
Данная публикация мне самому была интересна своей неординарностью, не могу сказать что полностью удовлетворён заключением патолога, но с ними не поспоришь.
Данная публикация мне самому была интересна своей неординарностью, не могу сказать что полностью удовлетворён заключением патолога, но с ними не поспоришь.
-
А.М.Шифрин
- Сообщения: 60
- Зарегистрирован: 12 апр 2009, 18:41
- Контактная информация:
Re: Фокальное утолщение стенок жёлчного пузыря.
Простите, а почему пациента прооперировали? Была клиника активного холецистита? Или были подозрения на рак?
Re: Фокальное утолщение стенок жёлчного пузыря.
Подозревали неоплазию.
Кто сейчас на конференции
Сейчас этот форум просматривают: нет зарегистрированных пользователей и 1 гость