Почечно-клеточный рак, тип "опухоль в кисте"

Почки, мочеточники, мочевой пузырь, уретра. Простата и яички.

Модератор: KsV

Ответить
Аватара пользователя
KsV
Администратор
Сообщения: 2191
Зарегистрирован: 22 фев 2009, 13:38
Откуда: Беларусь-Lietuva
Контактная информация:

Почечно-клеточный рак, тип "опухоль в кисте"

Сообщение KsV »

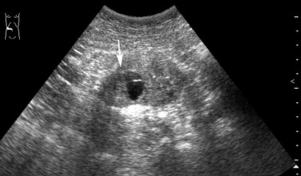
Пациент - мужчина 55 лет, новообразование - случайная находка.
При ультрасонографии в нижнем полюсе правой почки обнаружена киста с тканевым компонентом (стрелка)
При ультрасонографии в нижнем полюсе правой почки обнаружена киста с тканевым компонентом (стрелка)
1.jpg (23.74 КБ) 997 просмотров
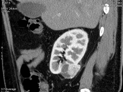
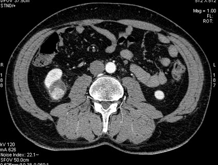
При КТ с контрастированием тканевой компонент активно накапливает контраст
При КТ с контрастированием тканевой компонент активно накапливает контраст
se003.jpg (38.03 КБ) 1009 просмотров
КТ- реконструкция
КТ- реконструкция
se026.jpg (19.71 КБ) 1002 просмотра
3D-реконструкция
3D-реконструкция
se005.jpg (37.88 КБ) 998 просмотров
Ответить

Вернуться в «Уронефрологические исследования»

Кто сейчас на конференции

Сейчас этот форум просматривают: нет зарегистрированных пользователей и 1 гость