Биопсия предстательной железы.

Почки, мочеточники, мочевой пузырь, уретра. Простата и яички.

Модератор: KsV

Ответить
Аватара пользователя
Dr.Mario
Эксперт
Сообщения: 160
Зарегистрирован: 17 мар 2009, 07:36
Контактная информация:

Биопсия предстательной железы.

Сообщение Dr.Mario »

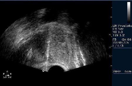
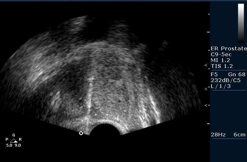
Биопсия предстательной железы под контролем Ультразвуковой визуализации. Рутинная практика в нашем отделении pадиологии, выполняется практически всем пациентам с повышенным уровнем ПСА (естественно, учитывая результаты осмотра урологов).
Вложения
Предстательная железа
Предстательная железа
Биопсийная игла в железе (трепан биопсия)
Биопсийная игла в железе (трепан биопсия)
Биопсийная игла в железе (трепан биопсия)
Биопсийная игла в железе (трепан биопсия)
Let me see...
www.radiographia.ru
Ответить

Вернуться в «Уронефрологические исследования»

Кто сейчас на конференции

Сейчас этот форум просматривают: нет зарегистрированных пользователей и 1 гость