КТ ангиография головного мозга

Головной мозг, позвоночник.
Только верифицированые изображения
Ответить
Аватара пользователя
Dr.Mario
Эксперт
Сообщения: 160
Зарегистрирован: 17 мар 2009, 07:36
Контактная информация:

КТ ангиография головного мозга

Сообщение Dr.Mario »

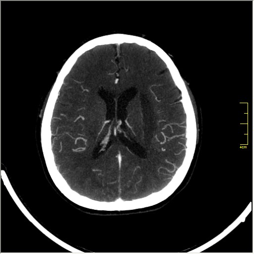
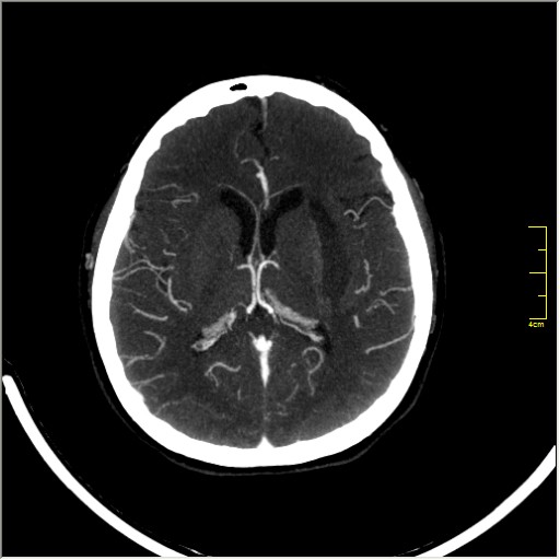
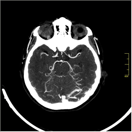
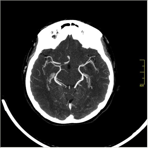
Стандартная процедура в современной работе КТ кабинета, весьма несложна в исполнении.
Сканы представленны в режиме MIP.
Вложения
Angio0.JPG
Angio1.JPG
Angio2.JPG
Angio3.JPG
Angio4.JPG
Let me see...
www.radiographia.ru
doctor PopovVV
Сообщения: 13
Зарегистрирован: 11 мар 2009, 01:24
Контактная информация:

Re: КТ ангиография головного мозга.

Сообщение doctor PopovVV »

Можно ли подробнее о методике которой вы пользуетесь (протокол, контрастное в-во и т.д.)
Аватара пользователя
Dr.Mario
Эксперт
Сообщения: 160
Зарегистрирован: 17 мар 2009, 07:36
Контактная информация:

Re: КТ ангиография головного мозга.

Сообщение Dr.Mario »

Без проблем, могу распистаь протокол. Но сначала сообщите мне характеристики аппарата и как вы вводите контраст (вручную или инжектор); и если ли у Вас программа ангио (bolus tracking software).
Let me see...
www.radiographia.ru
doctor PopovVV
Сообщения: 13
Зарегистрирован: 11 мар 2009, 01:24
Контактная информация:

Re: КТ ангиография головного мозга.

Сообщение doctor PopovVV »

Томограф GE Light Speed 32Pro (32 ряда детекторов), иньектор есть, думаю что программа своя(от GE) тоже есть. Заранее спс.
Аватара пользователя
Dr.Mario
Эксперт
Сообщения: 160
Зарегистрирован: 17 мар 2009, 07:36
Контактная информация:

Re: КТ ангиография головного мозга.

Сообщение Dr.Mario »

http://www.ctisus.com/ge_protocols/index.html

По этой ссылке Вы найдёте все технические параметры.
По поводу протокола введения контраста. Для начала посмотрите у себя на аппарате, есть ли там протокол/программа Bolus Tracking. Если есть; то всё очень просто. Запускаете протокол, делаете нативный сртез на уровне средней трети ОСА, устанавлиавете "тракер" в область просвете правой ОСА, планируете срезы и запускаете одновременно болюс тракинг режим с болюсным введением контраста (50-75 мл 4-5 мл/сек). Как только кривая плотности на графике поползёт вверх, жмите на съёмку!
Let me see...
www.radiographia.ru
Ответить

Вернуться в «Нейро-исследования»

Кто сейчас на конференции

Сейчас этот форум просматривают: нет зарегистрированных пользователей и 1 гость