УЗИ правой околоушной слюнной железы.
УЗИ правой околоушной слюнной железы.
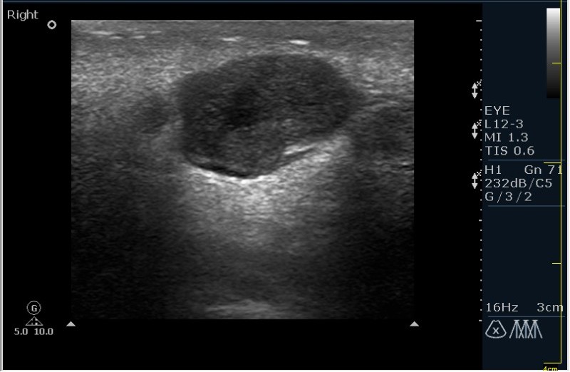
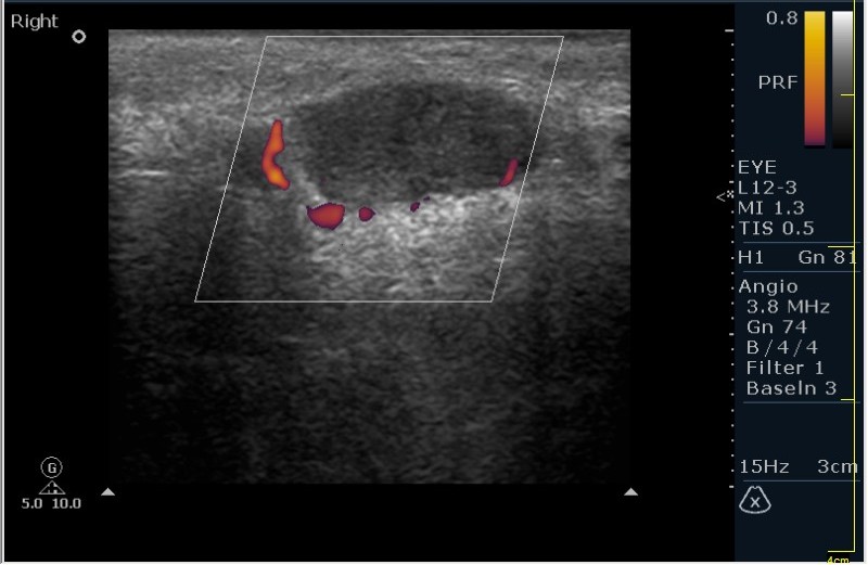
Мужчина 68 лет, направлен на УЗИ правой слюнной железы. Жалобы на пальпируемое, малоболезненное плотное образование за правым ухом.
- KsV
- Администратор
- Сообщения: 2189
- Зарегистрирован: 22 фев 2009, 13:38
- Откуда: Беларусь-Lietuva
- Контактная информация:
Re: УЗИ правой околоушной слюнной железы.
Марио, что при компрессии образования -"зыбается" ли? т.е. образование солидное или жидкостное?
Я бы уговорил клиницистов выполнить FNA.
Я бы уговорил клиницистов выполнить FNA.
Re: УЗИ правой околоушной слюнной железы.
Солидное!!!! Я тоже ТАБ хотел сделать, но ЛОР заказал КТ... А какие мысли будут?
- KsV
- Администратор
- Сообщения: 2189
- Зарегистрирован: 22 фев 2009, 13:38
- Откуда: Беларусь-Lietuva
- Контактная информация:
Re: УЗИ правой околоушной слюнной железы.
Первая мысль о очаговом воспалении, деструктивной фазе, но нет клиники.
Тумор?
Интересно, какую дополнительную информацию может дать КТ?
Тумор?
Интересно, какую дополнительную информацию может дать КТ?
Re: УЗИ правой околоушной слюнной железы.
Клиники нет, тумор на первом месте. В принципе КТ (или МРТ) заказывают для диффиренцировки зло/добро. Плюс посмотреть есть ли локальное растпространение. Но в данном случае я думаю УЗИ с ТАБ было бы достаточно.
- KsV
- Администратор
- Сообщения: 2189
- Зарегистрирован: 22 фев 2009, 13:38
- Откуда: Беларусь-Lietuva
- Контактная информация:
Re: УЗИ правой околоушной слюнной железы.
ИМХО все-равно все упрется в предоперационную морфологию.Dr.Mario писал(а):В принципе КТ (или МРТ) заказывают для диффиренцировки зло/добро.
Re: УЗИ правой околоушной слюнной железы.
Согласен! Поэтому в КТ отказал и настоял на ТАБ. Итак? Варианты? 
- KsV
- Администратор
- Сообщения: 2189
- Зарегистрирован: 22 фев 2009, 13:38
- Откуда: Беларусь-Lietuva
- Контактная информация:
Re: УЗИ правой околоушной слюнной железы.
http://www.ultrasound.net.ua/page/frame ... ame%3D589.Dr.Mario писал(а):Согласен! Поэтому в КТ отказал и настоял на ТАБ. Итак? Варианты?
Опухоли слюнных желез согласно Международной гистологической классификации разделяют на эпителиальные и неэпителиальные. К эпителиальным опухолям относят аденомы, мукоэпидермоидные и ацинозно-клеточные опухоли, карциномы. Аденомы, в свою очередь, делят на полиморфные и мономорфные, последние — на аденолимфомы, оксифильные аденомы, другие типы аденом. Среди карцином выделяют аденокистозные (цилиндромы), аденокарциномы, эпидермоидные карциномы, недифференцированные карциномы и карциномы в полиморфной аденоме. Неэпителиальные опухоли включают гемангиомы, гемангиоперицитомы, лимфангиомы, неврилеммомы, нейрофибромы, липомы, а также ангиогенные саркомы, рабдомиосаркомы, веретеноклеточные саркомы (без уточнения гистогенеза).
Среди доброкачественных опухолей наиболее часто встречается полиморфная аденома (смешанная опухоль, полиморфная аденома). В большинстве случаев она локализуется в околоушной, реже в поднижнечелюстной и подъязычной железе. Нередко поражается область мягкого и твердого неба, наблюдаются опухоли малых слюнных желез в щечной области, очень редко в области верхней челюсти и др. Опухоль характеризуется медленным (в течение многих лет) ростом, может достигать больших размеров, безболезненна. Возможно рецидивирование (повторное появление опухоли после удаления), при этом опухоль не дает метастазов. Малигнизация (озлокачествление) наблюдается в 3,6—30% случаев.
Мономорфные аденомы встречаются в 6,8% всех опухолей слюнных желез. В связи с тем, что мономорфные аденомы клинически протекают так же, как полиморфные, диагноз в большинстве случаев устанавливают только после патогистологического изучения удаленного новообразования. Возможно рецидивирование, как правило, только после нерадикального выполнения операции. Неэпителиальные доброкачественные опухоли слюнных. встречаются редко, по микроскопическому строению они не отличаются от неэпителиальных опухолей другой локализации. Чаще наблюдаются сосудистые опухоли - гемангиомы, лимфангиомы, реже - неврогенные опухоли - невриномы, нейрофибромы, и очень редко – липомы (опухоли из жировой ткани).
- KsV
- Администратор
- Сообщения: 2189
- Зарегистрирован: 22 фев 2009, 13:38
- Откуда: Беларусь-Lietuva
- Контактная информация:
Re: УЗИ правой околоушной слюнной железы.
Salivary Gland Tumors
Merck Manual, http://www.merck.com/mmpe/sec08/ch093/ch093g.html
Most salivary gland tumors are benign and occur in the parotid glands. A painless salivary mass is the most common sign and is evaluated by fine-needle aspiration biopsy. Imaging with CT and MRI can be helpful. For malignant tumors, treatment is with excision and radiation. Long-term results are related to the grade of the cancer.
About 85% of salivary gland tumors occur in the parotid glands, followed by the submandibular and minor salivary glands, and about 1% occur in the sublingual glands. About 75 to 80% are benign, slow-growing, movable, painless, usually solitary nodules beneath normal skin or mucosa. Occasionally, when cystic, they are soft but most often they are firm.
Benign tumors: The most common type is a pleomorphic adenoma (mixed tumor). Malignant transformation is possible, resulting in carcinoma ex mixed tumor, but this usually occurs only after the benign tumor has been present for 15 to 20 yr. If malignant transformation occurs, the cure rates are very low, despite adequate surgery and adjuvant therapy.
Other benign tumors include monomorphic adenoma, oncocytoma, and papillary cystadenoma lymphomatosum (previously known as cylindroma). These tumors rarely recur and rarely become malignant.
Malignant salivary gland tumors: Malignant tumors are less common and are characterized by rapid growth or a sudden growth spurt. They are firm, nodular, and can be fixed to adjacent tissue, often with a poorly defined periphery. Pain and neural involvement are common. Eventually, the overlying skin or mucosa may become ulcerated or the adjacent tissues may become invaded. Surgery, followed by radiation therapy, is the treatment of choice for resectable disease. Currently, there is no effective chemotherapy for salivary cancer.
Mucoepidermoid carcinoma is the most common salivary gland cancer, typically occurring in people in their 20s to 50s. It can manifest in any salivary gland, often in a minor salivary gland of the palate, or it can occur deep within the bone, such as in the wall of a dentigerous cyst. Intermediate and high-grade mucoepidermoid carcinomas may metastasize to the regional lymphatics, which must be addressed with surgical dissection or postoperative radiation therapy.
Adenoid cystic carcinoma is the most common malignant tumor of minor salivary glands (and of the trachea). It is a slowly growing malignant transformation of a much more common benign cylindroma. Its peak incidence is between ages 40 and 60, and symptoms include severe pain and, often, facial nerve paralysis. It has a propensity for perineural invasion and spread, with disease potentially extending many centimeters from the main tumor mass. Lymphatic spread is not a common feature of this tumor, so elective nodal treatment is less common. Although the 5- and 10-yr survival rates are quite good, the 15- and 20-yr rates are quite poor, with most patients developing distant metastases. Pulmonary metastases are common, although patients can live quite long with them.
Acinic cell carcinoma, a common parotid tumor, occurs in people in their 40s and 50s. This carcinoma has a more indolent course, as well as an incidence of multifocality.
Carcinoma ex mixed tumor is adenocarcinoma arising in a preexisting benign carcinoma ex mixed tumor. Only the carcinomatous element metastasizes.
Symptoms and Signs
Most benign and malignant tumors manifest as a painless mass. However, malignant tumors may invade nerves, causing localized or regional pain, numbness, paresthesia, causalgia, or a loss of motor function.
Diagnosis
CT and MRI locate the tumor and describe its extent. Biopsy confirms the cell type. A search for spread to regional nodes or distant metastases in the lung, liver, bone, or brain may be indicated before treatment is selected.
Merck Manual, http://www.merck.com/mmpe/sec08/ch093/ch093g.html
Most salivary gland tumors are benign and occur in the parotid glands. A painless salivary mass is the most common sign and is evaluated by fine-needle aspiration biopsy. Imaging with CT and MRI can be helpful. For malignant tumors, treatment is with excision and radiation. Long-term results are related to the grade of the cancer.
About 85% of salivary gland tumors occur in the parotid glands, followed by the submandibular and minor salivary glands, and about 1% occur in the sublingual glands. About 75 to 80% are benign, slow-growing, movable, painless, usually solitary nodules beneath normal skin or mucosa. Occasionally, when cystic, they are soft but most often they are firm.
Benign tumors: The most common type is a pleomorphic adenoma (mixed tumor). Malignant transformation is possible, resulting in carcinoma ex mixed tumor, but this usually occurs only after the benign tumor has been present for 15 to 20 yr. If malignant transformation occurs, the cure rates are very low, despite adequate surgery and adjuvant therapy.
Other benign tumors include monomorphic adenoma, oncocytoma, and papillary cystadenoma lymphomatosum (previously known as cylindroma). These tumors rarely recur and rarely become malignant.
Malignant salivary gland tumors: Malignant tumors are less common and are characterized by rapid growth or a sudden growth spurt. They are firm, nodular, and can be fixed to adjacent tissue, often with a poorly defined periphery. Pain and neural involvement are common. Eventually, the overlying skin or mucosa may become ulcerated or the adjacent tissues may become invaded. Surgery, followed by radiation therapy, is the treatment of choice for resectable disease. Currently, there is no effective chemotherapy for salivary cancer.
Mucoepidermoid carcinoma is the most common salivary gland cancer, typically occurring in people in their 20s to 50s. It can manifest in any salivary gland, often in a minor salivary gland of the palate, or it can occur deep within the bone, such as in the wall of a dentigerous cyst. Intermediate and high-grade mucoepidermoid carcinomas may metastasize to the regional lymphatics, which must be addressed with surgical dissection or postoperative radiation therapy.
Adenoid cystic carcinoma is the most common malignant tumor of minor salivary glands (and of the trachea). It is a slowly growing malignant transformation of a much more common benign cylindroma. Its peak incidence is between ages 40 and 60, and symptoms include severe pain and, often, facial nerve paralysis. It has a propensity for perineural invasion and spread, with disease potentially extending many centimeters from the main tumor mass. Lymphatic spread is not a common feature of this tumor, so elective nodal treatment is less common. Although the 5- and 10-yr survival rates are quite good, the 15- and 20-yr rates are quite poor, with most patients developing distant metastases. Pulmonary metastases are common, although patients can live quite long with them.
Acinic cell carcinoma, a common parotid tumor, occurs in people in their 40s and 50s. This carcinoma has a more indolent course, as well as an incidence of multifocality.
Carcinoma ex mixed tumor is adenocarcinoma arising in a preexisting benign carcinoma ex mixed tumor. Only the carcinomatous element metastasizes.
Symptoms and Signs
Most benign and malignant tumors manifest as a painless mass. However, malignant tumors may invade nerves, causing localized or regional pain, numbness, paresthesia, causalgia, or a loss of motor function.
Diagnosis
CT and MRI locate the tumor and describe its extent. Biopsy confirms the cell type. A search for spread to regional nodes or distant metastases in the lung, liver, bone, or brain may be indicated before treatment is selected.
- KsV
- Администратор
- Сообщения: 2189
- Зарегистрирован: 22 фев 2009, 13:38
- Откуда: Беларусь-Lietuva
- Контактная информация:
У детей...
Sialadenitis and Major Salivary Gland Tumors in Children—Experience at Los Angeles Childrens Hospital and a Review of the Literature
Mitchell S. Karlan and William H. Snyder, Jr.
Abstract
Except for mumps, the benign lesions most frequently seen in the salivary glands of a child are parotitis, hemangioendotheliomas and mixed tumors. Carcinoma and sarcoma are uncommon.
...
Mitchell S. Karlan and William H. Snyder, Jr.
Abstract
Except for mumps, the benign lesions most frequently seen in the salivary glands of a child are parotitis, hemangioendotheliomas and mixed tumors. Carcinoma and sarcoma are uncommon.
...
Кто сейчас на конференции
Сейчас этот форум просматривают: нет зарегистрированных пользователей и 0 гостей