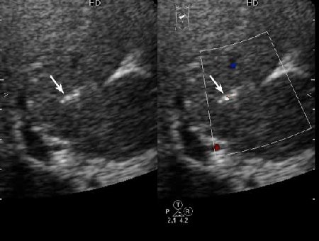
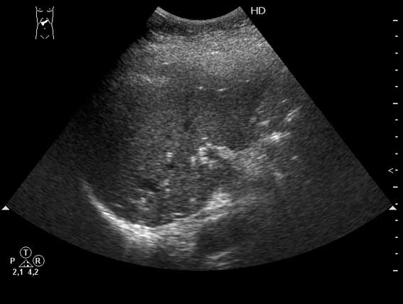
Внутрипротоковые гамартомы
- KsV
- Администратор
- Сообщения: 2189
- Зарегистрирован: 22 фев 2009, 13:38
- Откуда: Беларусь-Lietuva
- Контактная информация:
Внутрипротоковые гамартомы
Иногда встречается.
Как трактовать?
Быть может кто-либо знает о морфологическом субстрате подобного явления?
Как трактовать?
Быть может кто-либо знает о морфологическом субстрате подобного явления?
- Вложения
-
- 1.jpg (17.38 КБ) 6296 просмотров
-
- 2.jpg (11.96 КБ) 6299 просмотров
-
- 3.jpg (10.79 КБ) 6296 просмотров
- KsV
- Администратор
- Сообщения: 2189
- Зарегистрирован: 22 фев 2009, 13:38
- Откуда: Беларусь-Lietuva
- Контактная информация:
Re: Изменения печени и внутрипеченочных желчных протоков
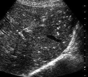
Получил данные за то, что, видимо, это мелкие конкременты в протоковой системе.
Доводы:
1) Эхогенные структуктуры дают твинклинг-артефакт (twinkling), характерный, например, для кальцийсодержащих образований.
2) Все пациенты, у которых наблюдалась подобная картина страдали ЖКБ, у всех был удален желчный пузырь.
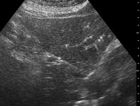
Привожу еще один пример.
Женщина 70 лет,15 лет назад проведена холецистэктомия. Жалобы на боли в эпигастрии.
Видеоролик - 550 Кб
Доводы:
1) Эхогенные структуктуры дают твинклинг-артефакт (twinkling), характерный, например, для кальцийсодержащих образований.
2) Все пациенты, у которых наблюдалась подобная картина страдали ЖКБ, у всех был удален желчный пузырь.
Привожу еще один пример.
Женщина 70 лет,15 лет назад проведена холецистэктомия. Жалобы на боли в эпигастрии.
Видеоролик - 550 Кб
Re: Изменения печени и внутрипеченочных желчных протоков
Картина возможна при двух вариантах:
1) протоковые гамартомы, впервые описаны von Meyenburg в 1918г.
2) холестероз желчных протоков как проявление одного из пяти вариантов холестериноза
1) протоковые гамартомы, впервые описаны von Meyenburg в 1918г.
2) холестероз желчных протоков как проявление одного из пяти вариантов холестериноза
- KsV
- Администратор
- Сообщения: 2189
- Зарегистрирован: 22 фев 2009, 13:38
- Откуда: Беларусь-Lietuva
- Контактная информация:
Re: Изменения печени и внутрипеченочных желчных протоков
А.М.!ФАМ писал(а):Картина возможна при двух вариантах:
1) протоковые гамартомы, впервые описаны von Meyenburg в 1918г.
2) холестероз желчных протоков как проявление одного из пяти вариантов холестериноза
Пожалуйста, расскажите по-подробнее...
Не поверите, ищу ответ уже года четыре... а может и пять...
-
А.М.Шифрин
- Сообщения: 60
- Зарегистрирован: 12 апр 2009, 18:41
- Контактная информация:
Re: Изменения печени и внутрипеченочных желчных протоков
Уважаемый ФАМ!ФАМ писал(а):Картина возможна при двух вариантах:
1) протоковые гамартомы, впервые описаны von Meyenburg в 1918г.
2) холестероз желчных протоков как проявление одного из пяти вариантов холестериноза
Действительно, очень похоже на мелкие гиперэхогенные включения в стенке желчного пузыря с феноменом "хвоста кометы" при холестерозе. А вот о протоковых гамартомах ничего не слышал. Если Вас не затруднит, дайте небольшую (или большую) справку (или ссылку).
С уважением, А. Шифрин
-
А.М.Шифрин
- Сообщения: 60
- Зарегистрирован: 12 апр 2009, 18:41
- Контактная информация:
Re: Изменения печени и внутрипеченочных желчных протоков
И все-таки, уважаемый ФАМ! Что это за протоковые гамартомы?
Re: Изменения печени и внутрипеченочных желчных протоков
1-про гамартромы читайте на сайте: www.jultrasoundmed.org/cgi/content/full/25/12/1631-не думаю,что это наш случай,там сочтается с Кароли. Статья называется :Sonographic Features of Biliary Hamartroma with Histopathologic Correlation
2-про отложение холестерина в протоках при паразитарных инфекциях(cholangiohiatitis) смотрите на сайте:www.springerlink.com/content/h 225386 pigmented calculi---------------нам достаточен наш ассортимент в/печеночных паразитов
. Не пойму,почему не реагируют сайты,написала правильно
3-отстаиваю и версию отложения меди при патологии Вильсона-эти отложения НЕ ДАЮТ акустическую тень
2-про отложение холестерина в протоках при паразитарных инфекциях(cholangiohiatitis) смотрите на сайте:www.springerlink.com/content/h 225386 pigmented calculi---------------нам достаточен наш ассортимент в/печеночных паразитов
3-отстаиваю и версию отложения меди при патологии Вильсона-эти отложения НЕ ДАЮТ акустическую тень
Re: Изменения печени и внутрипеченочных желчных протоков
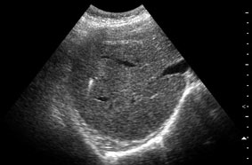
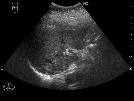
Наиболее вероятные варианты: хронический холангит, мелкие конкременты внутрипеченочных желчных протоков, холестероз.
Re: Изменения печени и внутрипеченочных желчных протоков
на некоторый картинках - действительно - мелкие конкременты желчных ходов,
на других - просто перифокальные изменения стенок сосудов.
такие реактивные изменения печени ВСЕГДА определяются у детей-злостных ацетонщиков до 7 лет - на фоне общего равномерного снижения эхогенности печеночной ткани отмечаются включения повышенной эхогенности линейной и точечной формы.
научусь уменьшать картинки - покажу.
на других - просто перифокальные изменения стенок сосудов.
такие реактивные изменения печени ВСЕГДА определяются у детей-злостных ацетонщиков до 7 лет - на фоне общего равномерного снижения эхогенности печеночной ткани отмечаются включения повышенной эхогенности линейной и точечной формы.
научусь уменьшать картинки - покажу.
Кто сейчас на конференции
Сейчас этот форум просматривают: нет зарегистрированных пользователей и 1 гость