КТ брюшной полости. Мужчина с пальпируемой опухолью в животе
КТ брюшной полости. Мужчина с пальпируемой опухолью в животе
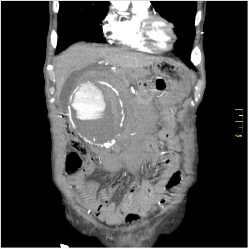
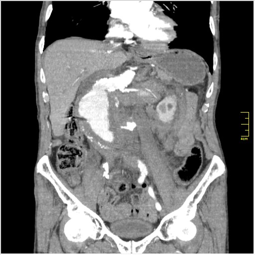
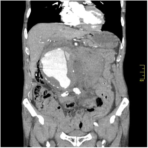
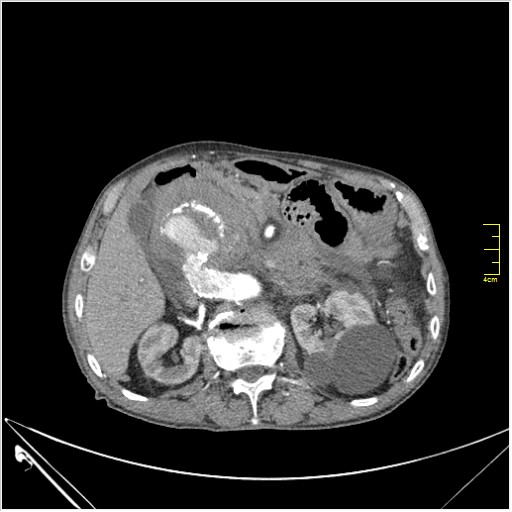
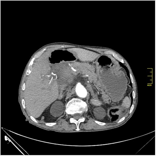
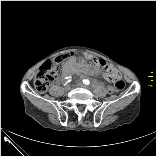
Пациент Т. 64 года, обратился на КТ брюшной полости амбулаторно (!), по направлению семейного врача с диагнозом abdominal mass, буквально: образование брюшной полости.
-
А.М.Шифрин
- Сообщения: 60
- Зарегистрирован: 12 апр 2009, 18:41
- Контактная информация:
Re: КТ брюшной полости. Мужчина с пальпируемой опухолью в животе
ТУберкулез позвоночника с обширной деструкцией и с натечником (Вообще-то, я КТ не занимаюсь. Была бы УЗ картинка...)
- KsV
- Администратор
- Сообщения: 2189
- Зарегистрирован: 22 фев 2009, 13:38
- Откуда: Беларусь-Lietuva
- Контактная информация:
Re: КТ брюшной полости. Мужчина с пальпируемой опухолью в животе
О, ужас!
Александр Маркович, на УЗИ в поперечном сканировании ЭТО может выглядеть примерно так:
Александр Маркович, на УЗИ в поперечном сканировании ЭТО может выглядеть примерно так:
- KsV
- Администратор
- Сообщения: 2189
- Зарегистрирован: 22 фев 2009, 13:38
- Откуда: Беларусь-Lietuva
- Контактная информация:
Re: КТ брюшной полости. Мужчина с пальпируемой опухолью в животе
ИМХО простые кисты.Uzgraph писал(а):Случай интересный - ногу сломишь. Вроде бы анефризма брюшной аорты(особенно по УЗИ), но что тогда за образования сидят на левой почке - онкология?
Re: КТ брюшной полости. Мужчина с пальпируемой опухолью в животе
Huge abdominal aorta aneurism. Simple renal cortical cysts (Bosniak type 1). 
-
А.М.Шифрин
- Сообщения: 60
- Зарегистрирован: 12 апр 2009, 18:41
- Контактная информация:
Re: КТ брюшной полости. Мужчина с пальпируемой опухолью в животе
Ну, это ж совсем другое дело!!!KapustinSV писал(а): ...на УЗИ в поперечном сканировании ЭТО может выглядеть примерно так:
- KsV
- Администратор
- Сообщения: 2189
- Зарегистрирован: 22 фев 2009, 13:38
- Откуда: Беларусь-Lietuva
- Контактная информация:
Re: КТ брюшной полости. Мужчина с пальпируемой опухолью в животе
Ну да.А.М.Шифрин писал(а):Ну, это ж совсем другое дело!!!KapustinSV писал(а): ...на УЗИ в поперечном сканировании ЭТО может выглядеть примерно так:
В архив.
Кто сейчас на конференции
Сейчас этот форум просматривают: нет зарегистрированных пользователей и 1 гость